理学療法士問題表示
理学療法士国家試験
大分類
整形外科
20問表示中
広告
16
理学療法士実地問題 -
第52回 午後
重要度:標準
20歳の女性。1か月前に転倒し、疼痛は軽減したが膝関節の不安定感があり来院した。実施した検査を図に示す。矢印は力を加えた方向を示す。この検査で陽性となったとき、損傷されたのはどれか。

1
外側側副靱帯
2
後十字靱帯
3
前十字靱帯
4
腸脛靱帯
5
内側側副靱帯
17
理学療法士実地問題 -
第52回 午後
重要度:重要
20歳の女性。1か月前に転倒し、疼痛は軽減したが膝関節の不安定感があり来院した。実施した検査を図に示す。矢印は力を加えた方向を示す。この検査で陽性が確認された。他に損傷がなかった場合、優先すべき治療はどれか。

1
安静固定
2
水中歩行練習
3
大腿四頭筋の強化
4
超音波療法
5
ハムストリングスの強化
31
理学療法士専門問題 -
第52回 午後
重要度:標準
肘関節脱臼で多いのはどれか。
1
外側
2
後方
3
前方
4
内側
5
分散
32
理学療法士専門問題 -
第52回 午後
重要度:重要
腰椎椎間板ヘルニアで陽性となるテストはどれか。
1
Apleyテスト
2
Patrickテスト
3
Thomasテスト
4
McMurrayテスト
5
大腿神経伸張テスト
35
理学療法士専門問題 -
第52回 午後
重要度:標準
末梢神経損傷で予後が最も良いのはどれか。
1
ニューロトメーシス〈neurotmesis〉
2
アクソノトメーシス〈axonotmesis〉
3
ニューラプラキシア〈neurapraxia〉
4
神経根引き抜き損傷
5
Waller変性
広告
38
理学療法士専門問題 -
第52回 午後
重要度:標準
慢性非特異的腰痛の理学療法介入方法について、理学療法診療ガイドラインで強く推奨されているのはどれか。
1
超音波
2
TENS
3
腰椎牽引
4
寒冷療法
5
認知行動療法
40
理学療法士専門問題 -
第52回 午後
重要度:重要
転位のない大腿骨転子部骨折に対する観血的整復固定術後の理学療法として優先度の低いのはどれか。
1
早期からの歩行練習
2
脱臼予防肢位の指導
3
早期からのROM練習
4
大腿四頭筋の等尺性運動
5
足関節の自動的底背屈運動
41
理学療法士専門問題 -
第52回 午後
重要度:低
腰椎分離症で分離するのはどれか。
1
横突起
2
棘突起
3
椎間板
4
椎弓
5
椎体
6
理学療法士実地問題 -
第51回 午前
重要度:標準
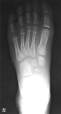
6歳の男児。1か月前から左足部痛を訴えた。エックス線写真を示す。最も考えられるのはどれか。

1
Sever病
2
舟状骨骨折
3
Freiberg病
4
足根骨癒合症
5
第1Köhler病
9
理学療法士実地問題 -
第51回 午前
重要度:標準
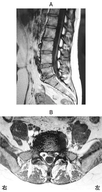
44歳の女性。1か月前から腰痛および左下肢痛を訴える。腰椎MRIの矢状断像(A)と水平断像(B)とを示す。なお、水平断像は矢状断像で最も所見がある椎体間の高位のものである。この患者にみられる所見はどれか。

1
左下腿内側の感覚障害
2
左足部の感覚障害
3
左大腿四頭筋の筋力低下
4
右下腿外側の感覚障害
5
右長母指伸筋の筋力低下
広告
19
理学療法士実地問題 -
第51回 午前
重要度:標準
24歳の女性。2日前に室内での火災に巻き込まれ救急搬送された。35%の範囲の熱傷と診断され入院中。意識は清明。顔面から前頸部も受傷し煤のような色の痰がでる。肩甲帯から上腕にかけては植皮が必要な状態。骨盤と下肢とに傷害はみられない。この時期の理学療法として適切なのはどれか。
1
患部局所の浮腫に対する弾性包帯による持続圧迫
2
下肢に対する80%MVCでの筋力増強
3
背臥位での持続的な頸部伸展位の保持
4
尖足予防のための夜間装具の装着
5
Squeezingによる排痰
34
理学療法士専門問題 -
第51回 午前
重要度:重要
関節リウマチに合併しやすいのはどれか。
1
内反足
2
脊椎分離症
3
Heberden結節
4
Dupuytren拘縮
5
指伸筋腱皮下断裂
10
理学療法士実地問題 -
第51回 午後
重要度:標準
52歳の女性。関節リウマチ。発症して17年が経過している。手指関節に痛みを訴えており、図のような変形がみられる。手指に対する最も適切な物理療法はどれか。

1
超音波
2
遠赤外線
3
極超短波
4
パラフィン浴
5
ホットパック
31
理学療法士専門問題 -
第51回 午後
重要度:標準
骨粗鬆症性骨折が最も起こりやすいのはどれか。
1
頸椎
2
鎖骨
3
尺骨
4
橈骨
5
距骨
32
理学療法士専門問題 -
第51回 午後
重要度:標準
頸椎の椎間孔圧迫試験はどれか。
1
Adsonテスト
2
Allenテスト
3
Morleyテスト
4
Spurlingテスト
5
Wrightテスト
広告
33
理学療法士専門問題 -
第51回 午後
重要度:標準
肘部管症候群の所見で正しいのはどれか。2つ選べ。
1
小指球の筋萎縮
2
示指のしびれ感
3
Tinel徴候陰性
4
Froment徴候陽性
5
Phalenテスト陽性
42
理学療法士専門問題 -
第51回 午後
重要度:最重要
大腿骨近位部骨折に対する人工骨頭置換術(後方アプローチ)後、全荷重が可能な状態での理学療法で適切でないのはどれか。
1
背臥位における膝伸展位での股関節外転運動
2
腹臥位における他動的な股関節伸展運動
3
座位における重錘を用いた大腿四頭筋の筋力増強
4
低い椅子から股関節内旋位での立ち上がり練習
5
歩行器を用いた屋外歩行練習
13
理学療法士実地問題 -
第50回 午前
重要度:標準
60歳の男性。両下肢のしびれと間欠性跛行とを認める。足背動脈の触知は可能で、体幹を前屈することによって歩行が容易となる。症状を改善するのに適している装具はどれか。
1
Boston型装具
2
Jewett型装具
3
Milwaukee型装具
4
Steindler型装具
5
Williams型装具
31
理学療法士専門問題 -
第50回 午前
重要度:標準
胸郭出口症候群に最も関与するのはどれか。
1
胸骨
2
胸鎖乳突筋
3
肩甲骨
4
前斜角筋
5
大胸筋
32
理学療法士専門問題 -
第50回 午前
重要度:重要
股関節に屈曲拘縮がある場合に陽性を示すのはどれか。
1
Bragardテスト
2
Buergerテスト
3
Lachmanテスト
4
McMurrayテスト
5
Thomasテスト
広告