Loading...

理学療法士問題表示

理学療法士国家試験

大分類

整形外科

20問表示中
広告
35
理学療法士専門問題 - 第47回 午後
重要度:重要
科目:
大分類: 整形外科
膝関節前十字靱帯再建術後4週の時点に行う患肢の筋力増強訓練として誤っているのはどれか。  
1
レッグカール
2
ハーフスクワット
3
バイクエクササイズ
4
大腿四頭筋セッティング
5
大腿部筋群の等運動性収縮訓練
5
理学療法士実地問題 - 第46回 午前
重要度:標準
科目:
大分類: 整形外科
28歳の男性。野球のスライディングの際に右膝関節屈曲位で膝前面を強打し、疼痛が強く歩行不能になったため救急外来を受診した。治療開始から2週後のMRIを示す。この患者で陽性となるのはどれか。 
-ostCE0nDl-wnZCuAl5tS
1
アプリヘンジョンサイン
2
外反ストレステスト
3
後方引き出し徴候
4
Lachmanテスト
5
Jerkテスト
6
理学療法士実地問題 - 第46回 午前
重要度:最重要
科目:
大分類: 整形外科
28歳の男性。野球のスライディングの際に右膝関節屈曲位で膝前面を強打し、疼痛が強く歩行不能になったため救急外来を受診した。治療開始から2週後のMRIを示す。治療開始から3週後。疼痛は軽減したが筋萎縮が残存している。この患者に行うべき筋力訓練で誤っているのはどれか。ただし、図の矢印は運動の方向を示している。
ZKi8w7Oi6pkykP6E8wqCE
1
1
2
2
3
3
4
4
5
5
26
理学療法士専門問題 - 第46回 午前
重要度:標準
科目:
大分類: 整形外科
腰痛体操はどれか。2つ選べ。  
1
Böhler体操
2
Frenkel体操
3
Klapp体操
4
McKenzie体操
5
Williams体操
32
理学療法士専門問題 - 第46回 午前
重要度:最重要
科目:
大分類: 整形外科
外傷と合併しやすい神経麻痺との組合せで正しいのはどれか。  
1
上腕骨骨幹部骨折 — 腋窩神経麻痺
2
尺骨骨折 — 正中神経麻痺
3
股関節後方脱臼 — 坐骨神経麻痺
4
大腿骨顆部骨折 — 大腿神経麻痺
5
脛骨骨幹部骨折 — 脛骨神経麻痺
広告
7
理学療法士実地問題 - 第46回 午後
重要度:標準
科目:
大分類: 整形外科
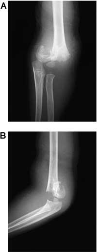
8歳の男児。公園の滑り台から誤って転落して左手をつき、痛みのために救急外来を受診した。左肘関節中枢部に疼痛、腫脹および変形が認められる。初診時の左肘のエックス線写真ABを示す。急性期の合併症で起こりにくいのはどれか。 
mUMdCBy6H8WJ068pMz-Qe
1
橈骨神経麻痺
2
正中神経麻痺
3
尺骨神経麻痺
4
上腕動脈損傷
5
尺骨動脈損傷
9
理学療法士実地問題 - 第46回 午後
重要度:重要
科目:
大分類: 整形外科
48歳の女性。関節リウマチ。SteinbrockerのステージⅢ、クラス3。ADLの維持・向上のための指導で誤っているのはどれか。  
1
立ち上がり訓練は高めの椅子で行う。
2
膝の屈曲拘縮予防に夜間装具を使用する。
3
炎症の強い時期の可動域訓練は自動運動を中心に行う。
4
ベッド上での起き上がりはひもを引っ張る方法で行う。
5
食事動作や更衣動作自立のため、肩・肘の可動域訓練を行う。
30
理学療法士専門問題 - 第46回 午後
重要度:重要
科目:
大分類: 整形外科
疾患と徴候との組合せで正しいのはどれか。2つ選べ。  
1
腱板断裂 — Drop arm sign
2
手根管症候群 — Froment sign
3
大腿四頭筋麻痺 — Trendelenburg sign
4
膝関節内側側副靱帯損傷 — Anterior drawer sign
5
アキレス腱断裂 — Thompson sign
31
理学療法士専門問題 - 第46回 午後
重要度:重要
科目:
大分類: 整形外科
スポーツ外傷と筋力訓練の目標とすべき筋との組合せで正しいのはどれか。2つ選べ。  
1
肩鎖関節脱臼 — 上腕二頭筋
2
肩関節前方脱臼 — 肩甲下筋
3
肘関節尺側側副靱帯損傷 — 尺側手根伸筋
4
膝関節内側膝蓋大腿靱帯損傷 — 大腿四頭筋
5
足関節前距腓靱帯損傷 — 後脛骨筋
32
理学療法士専門問題 - 第46回 午後
重要度:標準
科目:
大分類: 整形外科
急激に大きな力が働くことによって起こるスポーツ外傷はどれか。  
1
野球肩
2
投球骨折
3
テニス肘
4
ジャンパー膝
5
脛骨疲労骨折
広告
33
理学療法士専門問題 - 第46回 午後
重要度:重要
科目:
大分類: 整形外科
関節リウマチ患者の関節保護の方法で誤っているのはどれか。  
1
レバーによる蛇口の開閉
2
両手を使用した茶碗の把持
3
手掌部による車椅子のブレーキ操作
4
食事の際の頸部前屈によるリーチ代償
5
補高マットを利用した椅子からの立ち上がり
4
理学療法士実地問題 - 第45回 午前
重要度:標準
科目:
大分類: 整形外科
被検者を左側臥位にして、図に示す肢位から検者が右手を離しても右下肢は外転位のままとどまっている。この検査法はどれか。 
gEPjd9Zl41v4ZCayaWQc3
1
Apleyテスト
2
Elyテスト
3
Oberテスト
4
Patrickテスト
5
Thomasテスト
5
理学療法士実地問題 - 第45回 午前
科目:
大分類: 整形外科
被検者を左側臥位にして、図に示す肢位から検者が右手を離しても右下肢は外転位のままとどまっている。図に示す検査法で評価しているのはどれか。 
YzJesSFv_utctFwj0p6hL
1
腸腰筋拘縮
2
腸脛靱帯拘縮
3
仙腸関節病変
4
大腿四頭筋拘縮
5
腰椎神経根圧迫
6
理学療法士実地問題 - 第45回 午前
重要度:重要
科目:
大分類: 整形外科
64歳の女性。10年前から歩行時に右股関節痛を生じ、徐々に増悪して歩行が困難となったため後外側アプローチによる人工股関節置換手術を受けた。術前の股関節部エックス線写真(A)、骨盤部CT(B)および術後の股関節部エックス線写真(C)を別に示す。術前に認められないのはどれか。 
GV84VrRHp05JT2YM3Li0a
1
骨囊胞
2
骨棘形成
3
臼蓋底の肥厚
4
特発性骨壊死
5
関節裂隙狭小化
7
理学療法士実地問題 - 第45回 午前
重要度:最重要
科目:
大分類: 整形外科
64歳の女性。10年前から歩行時に右股関節痛を生じ、徐々に増悪して歩行が困難となったため後外側アプローチによる人工股関節置換手術を受けた。術前の股関節部エックス線写真(A)、骨盤部CT(B)および術後の股関節部エックス線写真(C)を別に示す。術後の理学療法で誤っているのはどれか。 
JtbQWhriWRFW3tVyeuZUz
1
術後2日の大腿四頭筋の筋力強化
2
術後3日の中殿筋の筋力強化
3
術後7日の股関節内旋可動域訓練
4
術後10日の荷重歩行訓練
5
手術創治癒後の水中歩行訓練
広告
26
理学療法士専門問題 - 第45回 午前
重要度:重要
科目:
大分類: 整形外科
内反変形のある変形性膝関節症患者の歩行の特徴はどれか。2つ選べ。  
1
立脚相:外側スラスト
2
立脚相:立脚側への体幹傾斜
3
立脚相:立脚肢の反張膝
4
遊脚相:分回し
5
遊脚相:遊脚側の骨盤下制
28
理学療法士専門問題 - 第45回 午前
重要度:最重要
科目:
大分類: 整形外科
疾患と治療体操との組合せで誤っているのはどれか。  
1
慢性閉塞性動脈疾患−Buerger-Allen体操
2
脊椎圧迫骨折−Böhler体操
3
肩関節周囲炎−Codman体操
4
運動失調症−Frenkel体操
5
腰痛症−Klapp体操
29
理学療法士専門問題 - 第45回 午前
重要度:最重要
科目:
大分類: 整形外科
関節リウマチの足部の変形で起こりにくいのはどれか。  
1
外反母指
2
槌指変形
3
中足指節間関節の背側脱臼
4
凹足変形
5
踵骨の外反変形
5
理学療法士実地問題 - 第45回 午後
重要度:標準
科目:
大分類: 整形外科
18歳の男性。サッカーの試合中に方向転換しようとして膝関節をひねり、疼痛のため歩行不能となった。翌日に撮像したMRIを示す。この患者で認められないのはどれか。 
O3_d7x0jj4z6CSn0aDWC1
1
膝蓋跳動
2
Nテスト陽性
3
前方引き出し徴候
4
後方引き出し徴候
5
ラックマンテスト陽性
6
理学療法士実地問題 - 第45回 午後
重要度:重要
科目:
大分類: 整形外科
18歳の男性。サッカーの試合中に方向転換しようとして膝関節をひねり、疼痛のため歩行不能となった。翌日に撮像したMRIを示す。2週後に歩行可能となったが、膝関節に不安定感がある。適応となる装具はどれか。
7e8wUVAbF6dnJTnYT6XlS
1
1
2
2
3
3
4
4
5
5
広告