理学療法士問題表示
理学療法士国家試験
大分類
整形外科
20問表示中
広告
41
理学療法士専門問題 -
第57回 午前
重要度:標準
スワンネック変形で過伸展となるのはどれか。
1
遠位指節間関節
2
遠位橈尺関節
3
近位指節間関節
4
手根中手関節
5
中手指節間関節
13
理学療法士実地問題 -
第57回 午後
重要度:最重要
65歳の女性。左変形性股関節症。3年前からの左股関節痛に対して後方侵入法で人工股関節置換術を受けた。術後のエックス線写真を示す。手術後3週までの患側の理学療法で正しいのはどれか。

1
立ち上がり動作は股関節内旋位で行う。
2
術後翌日から等尺性筋力増強練習を開始する。
3
術後3日間はベッド上安静とする。
4
術後2週は股関節を45度以上屈曲しない。
5
術後3週は免荷とする。
20
理学療法士実地問題 -
第57回 午後
重要度:重要
60歳の女性。関節リウマチ。SteinbrockerのステージⅢ、クラス3で寛解状態であり安定している。理学療法士が行う生活指導について誤っているのはどれか。
1
歩容に応じた足底板を調整する。
2
頸椎の等張性抵抗運動を励行する。
3
変形防止用のスプリントを用いる。
4
再燃の急性炎症期には運動を避ける。
5
大関節を使う関節保護方法を指導する。
30
理学療法士専門問題 -
第57回 午後
重要度:標準
Freiberg病で障害されるのはどれか。
1
距 骨
2
踵 骨
3
舟状骨
4
立方骨
5
第2中足骨
40
理学療法士専門問題 -
第57回 午後
重要度:標準
関節と生じやすい脱臼の組合せで正しいのはどれか。
1
胸鎖関節——後方脱臼
2
肩関節———後方脱臼
3
肘関節———後方脱臼
4
股関節———前方脱臼
5
足関節———前方脱臼
広告
41
理学療法士専門問題 -
第57回 午後
重要度:重要
腰椎椎間板ヘルニアの保存療法後の理学療法で誤っているのはどれか。
1
四つ這い位で一側下肢を挙上する。
2
腸腰筋の短縮がある場合は伸張する。
3
端座位で骨盤の前後傾運動をゆっくり行う。
4
就寝時は側臥位で腰椎伸展位をとるよう指導する。
5
パピーポジションで腰椎伸展位をとるよう指導する。
7
理学療法士実地問題 -
第56回 午前
重要度:標準
78歳の女性。自宅玄関で転倒してから起立歩行不能となり救急搬送された。来院時の単純エックス線画像を示す。最も考えられるのはどれか。

1
股関節脱臼
2
大腿骨頸部骨折
3
大腿骨骨頭骨折
4
大腿骨転子下骨折
5
大腿骨転子部骨折
14
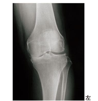
理学療法士実地問題 -
第56回 午前
重要度:重要
75歳の女性。左膝痛を訴え、関節可動域が伸展-10°、屈曲95°に制限されている。来院時のエックス線写真を示す。膝関節拘縮に対する治療で正しいのはどれか。

1
CPMを行う。
2
大腿を固定して伸張を加える。
3
疼痛を感じるレベルの矯正力を加える。
4
動的膝装具は用いない。
5
連続ギプス法では1日ごとに5°ずつ矯正位を強める。
15
理学療法士実地問題 -
第56回 午前
重要度:標準
45歳の女性。3日前、自宅で荷物を持ち上げた際に、腰部と左下腿の後面から足背外側部にかけての強い痛みがあった。安静にしていたが、疼痛が軽快しないため受診し、腰椎椎間板ヘルニアと診断された。最も疑われる病変部位はどれか。
1
L1/2
2
L2/3
3
L3/4
4
L4/5
5
L5/S1
16
理学療法士実地問題 -
第56回 午前
重要度:標準
45歳の女性。3日前、自宅で荷物を持ち上げた際に、腰部と左下腿の後面から足背外側部にかけての強い痛みがあった。安静にしていたが、疼痛が軽快しないため受診し、腰椎椎間板ヘルニアと診断された。発症から2か月が経過し、足背外側部の疼痛と安静時の腰痛は改善したが、労作時に軽度の腰痛が続いているため再度受診した。理学療法として適切でないのはどれか。
1
TENS
2
ホットパック
3
Williams型装具の装着
4
体幹筋群の筋カトレーニング
5
ハムストリングスのストレッチング
広告
33
理学療法士専門問題 -
第56回 午前
重要度:標準
Trendelenburg徴候が生じやすいのはどれか。
1
変形性股関節症
2
変形性足関節症
3
変形性膝関節症
4
腰椎分離症
5
腰部脊柱管狭窄症
41
理学療法士専門問題 -
第56回 午前
重要度:重要
関節リウマチに対する運動療法で正しいのはどれか。
1
活動期では関節可動域運動は行わない。
2
環軸椎亜脱臼では頸椎可動域運動を行う。
3
関節強直では関節可動域運動を行う。
4
等尺性運動で筋力を維持する。
5
ムチランス変形では他動運動を行う。
43
理学療法士専門問題 -
第56回 午前
重要度:標準
高齢者の転倒で生じやすいのはどれか。
1
距骨骨折
2
脛骨骨折
3
肩甲骨骨折
4
踵骨骨折
5
橈骨骨折
10
理学療法士実地問題 -
第56回 午後
重要度:標準
8歳の男児。転倒して橈骨遠位端骨折と診断され、6週間のギプス固定が行われた。固定除去後、関節可動域制限と筋力低下を認めた。物理療法で適切なのはどれか。
1
機能的電気刺激
2
極超短波
3
超音波
4
紫外線
5
渦流浴
14
理学療法士実地問題 -
第56回 午後
重要度:最重要
87歳の女性。転倒して左股関節痛を訴え、入院となった。受傷後2日目に後方侵入法で手術を受けた。術後のエックス線写真を示す。正しいのはどれか。

1
臥床時には股関節を内転位に保つ。
2
靴下の着脱は股関節外旋位で行う。
3
術後1週から大腿四頭筋セッティングを開始する。
4
術後2週から中殿筋の筋力トレーニングを開始する。
5
術後3か月は免荷とする。
広告
42
理学療法士専門問題 -
第56回 午後
重要度:重要
膝関節前十字靱帯再建術後3日経過した時点で行う理学療法として適切でないのはどれか。
1
ゴムチューブを利用した膝伸展運動
2
膝装具装着下での自動介助運動
3
CPMを用いた関節可動域練習
4
ハーフスクワット
5
アイシング
13
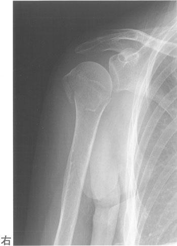
理学療法士実地問題 -
第55回 午前
重要度:標準
60歳の女性。転倒して右肩関節痛を訴えた。エックス線写真を示す。まず患部に行うべき治療はどれか。

1
ギプス固定
2
極超短波治療
3
三角巾固定
4
髄内釘固定
5
超音波治療
14
理学療法士実地問題 -
第55回 午前
重要度:標準
65歳の男性。変形性頸椎症。2年前から肩こりがあり、2か月前から頸部伸展時に右手の母指にしびれが出現し、右上肢のだるさと脱力感を自覚するようになった。下肢の症状やバランス不良はみられない。右上肢において筋力低下が最も生じやすいのはどれか。
1
三角筋
2
上腕三頭筋
3
上腕二頭筋
4
尺側手根屈筋
5
長橈側手根伸筋
20
理学療法士実地問題 -
第55回 午前
重要度:標準
85歳の女性。自宅仏壇のろうそくの火が右袖に引火し、右前腕から前胸部および顔面にⅢ度5%とⅡ度15%の熱傷および気道熱傷を受傷した。受傷翌日に前胸部から右前腕前面にかけて植皮術を実施した。術後早期から開始する理学療法として正しいのはどれか。
1
squeezingによる排痰を実施する。
2
前腕は最大回内位に保持する。
3
肩関節は外転位に保持する。
4
筋力増強運動は禁止する。
5
起立歩行は禁止する。
31
理学療法士専門問題 -
第55回 午前
重要度:標準
変形性膝関節症で正しいのはどれか。2つ選べ。
1
二次性が多い。
2
男性に好発する。
3
外反変形を生じやすい。
4
運動開始時に疼痛がある。
5
大腿四頭筋の萎縮を認める。
広告