理学療法士問題表示
理学療法士国家試験
大分類
整形外科
20問表示中
広告
12
理学療法士実地問題 -
第53回 午前
重要度:標準
21歳の女性。バレーボールで着地時に足関節痛を訴えた。検査法を図に示す。この検査で調べる靱帯損傷として正しいのはどれか。

1
三角靱帯損傷
2
踵腓靱帯損傷
3
前距腓靱帯損傷
4
前脛腓靱帯損傷
5
二分靱帯損傷
18
理学療法士実地問題 -
第53回 午前
重要度:標準
55歳の男性。トラックの荷台(2 m)から転落して受傷した。来院時の足関節エックス線単純写真(A)及び冠状断CTとCTの模式図(B)を別に示す。保存的に加療したとき、今後最も起こりやすい合併症はどれか。

1
凹足
2
踵足
3
内反尖足
4
変形性関節症
5
無腐性骨壊死
19
理学療法士実地問題 -
第53回 午前
重要度:標準
生後4か月の乳児。健診で股関節の異常を指摘された。来院時に右股関節の開排制限を認めたため、股関節のエックス線単純検査を行った。股関節の図を示す。臼蓋角はどれか。

1
a
2
b
3
c
4
d
5
e
20
理学療法士実地問題 -
第53回 午前
重要度:標準
生後4か月の乳児。健診で股関節の異常を指摘された。来院時に右股関節の開排制限を認めたため、股関節のエックス線単純検査を行った。行うべき対応として適切なのはどれか。

1
経過観察
2
ギプス固定
3
観血的整復術
4
オーバーヘッド牽引
5
リーメンビューゲル装具
32
理学療法士専門問題 -
第53回 午前
重要度:標準
関節リウマチの脊椎病変で最も多いのはどれか。
1
黄色靱帯骨化
2
環軸椎亜脱臼
3
後縦靱帯骨化
4
脊柱側弯
5
腰椎椎間板ヘルニア
広告
33
理学療法士専門問題 -
第53回 午前
重要度:標準
膝前十字靱帯損傷と合併して損傷しやすい部位はどれか。
1
外側側副靱帯
2
後十字靱帯
3
後半月大腿靱帯
4
膝蓋腱
5
内側半月板
42
理学療法士専門問題 -
第53回 午前
重要度:標準
変形性膝関節症の理学療法介入方法について、理学療法診療ガイドライン第1版(日本理学療法士協会)で推奨グレードが最も低いのはどれか。
1
協調運動
2
減量療法
3
有酸素運動
4
筋力増強運動
5
ホットパック
43
理学療法士専門問題 -
第53回 午前
重要度:標準
手関節背屈位で手をついて転倒した患者のエックス線単純写真を示す。この病態として正しいのはどれか。

1
chauffeur’s骨折
2
Colles骨折
3
Galeazzi骨折
4
Monteggia骨折
5
Smith骨折
18
理学療法士実地問題 -
第53回 午後
重要度:低
36歳の男性。手にバスケットボールが当たって受傷した。来院時の手指の写真(A)とエックス線単純写真(B)とを示す。この病態として正しいのはどれか。

1
槌 指
2
ばね指
3
ボクサー骨折
4
ムチランス変形
5
Bennett骨折
28
理学療法士専門問題 -
第53回 午後
重要度:標準
慢性腰痛に対する認知行動療法でないのはどれか。
1
痛みの有無を頻回に尋ねる。
2
腰痛の不安を解消する映像を見せる。
3
腰を反らせても痛まない成功体験を繰り返させる。
4
痛みがあってもできる活動があることを認識させる。
5
適切な身体活動は痛みを増悪させないことを説明する。
広告
31
理学療法士専門問題 -
第53回 午後
重要度:低
Heberden結節の好発部位はどれか。
1
遠位指節間関節
2
遠位橈尺関節
3
近位指節間関節
4
近位橈尺関節
5
中手指節関節
32
理学療法士専門問題 -
第53回 午後
重要度:標準
腱板断裂損傷の徒手検査で陽性となる可能性が最も高いのはどれか。
1
anterior apprehension test
2
drop arm test
3
Morley test
4
Thompson test
5
Yergason test
42
理学療法士専門問題 -
第53回 午後
重要度:最重要
関節リウマチの開張足を矯正する装具で最も適切なのはどれか。
1
外側ウェッジ
2
外側Tストラップ
3
踵補高
4
逆Thomasヒール
5
メタタルサルアーチサポート
46
理学療法士専門問題 -
第53回 午後
重要度:重要
末梢神経障害による猿手で使用する装具はどれか。
1
コックアップ・スプリント
2
短対立装具
3
虫様筋カフ
4
手関節駆動式把持装具
5
BFO
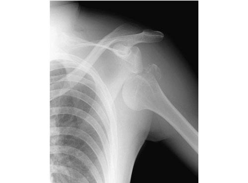
7
理学療法士実地問題 -
第52回 午前
重要度:標準
30歳の男性。スキーで転倒して受傷した。エックス線写真を示す。肩脱臼整復後に肩関節内転・内旋位で固定されたが、上腕の外側上部に感覚鈍麻を訴えた。合併症の神経麻痺はどれか。

1
腋窩神経
2
肩甲上神経
3
肩甲下神経
4
尺骨神経
5
正中神経
広告
8
理学療法士実地問題 -
第52回 午前
重要度:標準
44歳の女性。関節リウマチ。エックス線写真を示す。身の回りのことはできるが、仕事は行えない。この患者のSteinbrockerの分類はどれか。

1
ステージⅡ、クラスⅡ
2
ステージⅢ、クラスⅢ
3
ステージⅢ、クラスⅣ
4
ステージⅣ、クラスⅢ
5
ステージⅣ、クラスⅣ
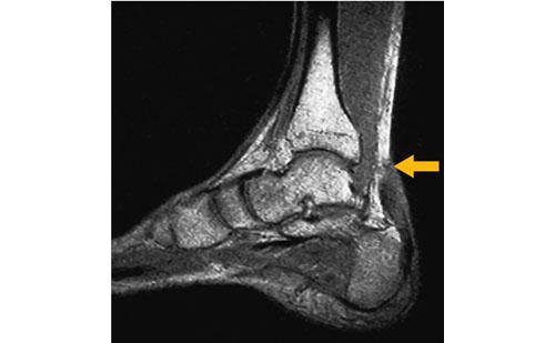
14
理学療法士実地問題 -
第52回 午前
重要度:標準
39歳の男性。野球の試合中にジャンプしてボールをキャッチした着地時に、踵に疼痛と違和感とを訴えた。その直後から歩行困難となったために、応急処置の後に緊急搬送された。搬送先の病院で撮影された足部MRIを示す。矢印は損傷部位を示す。受傷直後の処置として適切なのはどれか。

1
足底板による固定
2
足関節周辺の保温
3
足関節底屈位での固定
4
強擦法による下腿部のマッサージ
5
端座位による下腿下垂位での安静
17
理学療法士実地問題 -
第52回 午前
重要度:重要
右人工股関節置換術(後方侵入)後の患者の靴下の着脱動作として正しいのはどれか。2つ選べ。

1
1
2
2
3
3
4
4
5
5
41
理学療法士専門問題 -
第52回 午前
重要度:重要
関節リウマチの症状と理学療法の組合せで正しいのはどれか。
1
肩関節痛――――――持続伸張運動
2
手指の変形―――――超音波療法
3
足の外反母指――――金属支柱付短下肢装具
4
膝関節外反変形―――外側ウェッジ
5
環軸関節亜脱臼―――頸椎前屈姿勢の予防
8
理学療法士実地問題 -
第52回 午後
重要度:標準
14歳の女子。第5胸椎を頂椎とする側弯症。Cobb角は18度である。体幹前屈時の様子を図に示す。正しいのはどれか。

1
右凸の側弯である。
2
手術療法の適応である。
3
側弯体操で矯正可能である。
4
Boston型装具の適応である。
5
第5胸椎の棘突起は凸側へ回旋している。
広告