理学療法士問題表示
理学療法士国家試験
大分類
整形外科
20問表示中
広告
62
理学療法士専門問題 -
第44回 午前
重要度:標準
顔面筋麻痺について正しいのはどれか。
1
片側大脳病変では前頭筋麻痺が生じる。
2
片側橋病変では同側の顔面筋麻痺が生じる。
3
片側延髄下部病変では同側の顔面筋麻痺が生じる。
4
大脳病変では電気治療が有効である。
5
末梢性病変では顔面筋全体の同時収縮を促すように電気治療を行う。
5
理学療法士実地問題 -
第43回 午前
重要度:低
図のように測定した尺骨神経の運動神経伝導速度で正しいのはどれか。ただし、小数点以下第2位を四捨五入するものとする。

1
59.2 m/sec
2
64.5 m/sec
3
69.7 m/sec
4
88.2 m/sec
5
96.1 m/sec
9
理学療法士実地問題 -
第43回 午前
重要度:標準
72歳の女性。歩行中に転倒して右手をついた。診療所で良好な整復を得て、ギプス固定を受けた。受傷直後の右上肢のエックス線写真を示す。この骨折について正しいのはどれか。

1
Bennett脱臼骨折
2
Colles骨折
3
Galeazzi骨折
4
Monteggia脱臼骨折
5
Smith骨折
10
理学療法士実地問題 -
第43回 午前
重要度:標準
72歳の女性。歩行中に転倒して右手をついた。診療所で良好な整復を得て、ギプス固定を受けた。ギプス固定後の状態を示す。3週後に巻き直しのため受診した際、右前腕から手指に強い運動時痛と浮腫とを認めた。大学病院に紹介され、複雑性局所疼痛症候群の診断を受けた。この症例において初期治療で考慮すべきであった点はどれか。2つ選べ。

1
日常生活では右手の安静を指導する。
2
前腕・手指の等尺性収縮を行わせる。
3
中手指節関節は動かせる固定とする。
4
手関節の固定は背屈位にする。
5
前腕から遠位の固定とする。
11
理学療法士実地問題 -
第43回 午前
重要度:標準
78歳の女性。布団を持ち上げようとした際、背部から腹部への強い帯状痛を生じ、寝返りも困難となったため入院となった。入院時のエックス線写真(別冊No. 3A)とMRI(別冊No. 3B)とを別に示す。この患者の病態で適切なのはどれか。2つ選べ。

1
骨粗鬆症
2
脊椎分離症
3
脊柱管狭窄症
4
脊椎椎体圧迫骨折
5
椎間板ヘルニア
広告
12
理学療法士実地問題 -
第43回 午前
重要度:重要
78歳の女性。布団を持ち上げようとした際、背部から腹部への強い帯状痛を生じ、寝返りも困難となったため入院となった。入院時のエックス線写真AとMRI写真Bを示す。この患者がベッド上で行う理学療法で適切でないのはどれか。

1
両側下肢への弾性ストッキングの着用
2
背臥位で砂のうを用いた両上肢の筋力強化
3
足関節の底背屈自動運動
4
重錘バンドを用いた下肢伸展挙上運動
5
コルセットを装着しての背臥位での殿部挙上運動
13
理学療法士実地問題 -
第43回 午前
重要度:重要
75歳の女性。玄関で転倒し右肩の痛みと挙上困難とを生じ、カラーアンドカフ法で保存的な治療を受けた。骨折時の右肩のエックス線写真Aと固定状態の写真Bとを示す。1か月経過して骨折部が安定した。この時点での理学療法①~⑤で適切でないのはどれか。

1
①
2
②
3
③
4
④
5
⑤
14
理学療法士実地問題 -
第43回 午前
重要度:標準
左手指の形を右手で模倣しようとすると、図のようになってしまう。麻痺している筋はどれか。2つ選べ。

1
虫様筋
2
浅指屈筋
3
長母指屈筋
4
深指屈筋
5
短母指外転筋
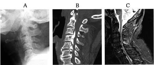
24
理学療法士専門問題 -
第43回 午前
重要度:標準
56歳の男性。階段で足を滑らせ階下まで転落し、病院に搬送された。入院時の頸椎エックス線写真(A)、CT(B)及びMRI(C)を示す。頸椎・頸髄の病変について誤っているのはどれか。

1
前縦靭帯の骨化
2
後縦靭帯の骨化
3
頸椎の脱臼骨折
4
頸髄内の損傷像
5
椎体の骨棘形成
25
理学療法士専門問題 -
第43回 午前
重要度:最重要
56歳の男性。階段で足を滑らせ階下まで転落し、病院に搬送された。入院時の頸椎X線写真(A)、CT(B)及びMRI(C)を示す。徒手筋力テストによる上下肢の筋力評価の推移を表に示す。感覚鈍麻は持続しているが、2週後には排尿は自力で可能となった。受傷4週以降の治療で正しいのはどれか。

1
車椅子での生活自立をゴールとして設定する。
2
痙縮の増悪を考えて筋力増強訓練を禁止する。
3
手指に関節拘縮を生じやすいので留意する。
4
両側長下肢装具を作製して歩行訓練を行う。
5
食事動作にはBFOの利用を検討する。
広告
36
理学療法士専門問題 -
第43回 午前
重要度:重要
45歳の女性。40歳で関節リウマチを発症し、寛解と増悪とを繰り返している。左膝関節の疼痛と変形とが強いため人工関節置換術を検討している。両手関節の腫脹は著明であるが杖歩行が可能である。上肢の支持側と杖の選択で適切なのはどれか。
1
右上肢のT字杖
2
左上肢の四脚杖
3
右上肢の片松葉杖
4
左上肢のロフストランド杖
5
右上肢のプラットホーム杖
81
理学療法士専門問題 -
第43回 午前
重要度:標準
腰椎椎間板ヘルニアの急性期の治療で適切でないのはどれか。
1
薬物療法
2
ダーメンコルセット装着
3
活動制限
4
腰椎間欠牽引
5
硬膜外ブロック注射
82
理学療法士専門問題 -
第43回 午前
重要度:標準
腰椎椎間板ヘルニアの慢性期の指導で適切なのはどれか。2つ選べ。
1
膝を曲げて寝る。
2
背もたれのない腰掛けを使う。
3
中腰で物を持つ。
4
あぐら座位で座る。
5
Williams腰痛体操を行う。
83
理学療法士専門問題 -
第43回 午前
重要度:最重要
関節リウマチの足部の変形で起こりにくいのはどれか。
1
凹足変形
2
扁平足
3
踵骨の外反変形
4
外反母指
5
槌指変形
84
理学療法士専門問題 -
第43回 午前
重要度:標準
関節リウマチでLansbury(ランスバリー)指数が示すのはどれか。
1
症状による診断の基準
2
点数による関節炎の活動性
3
エックス線による骨関節破壊の程度
4
日常生活制限の程度
5
顔の絵によるQOLの評価
広告
85
理学療法士専門問題 -
第43回 午前
重要度:標準
足関節で内反捻挫が起こりやすい理由はどれか。2つ選べ。
1
背屈位で不安定になる。
2
内果に比べ外果の骨性制限が小さい。
3
内側の靭帯が外側に比して脆弱である。
4
底屈に伴い回外が生じる。
5
外がえしに作用する筋が少ない。
10
理学療法士実地問題 -
第42回 午前
重要度:標準
腰痛症患者に適切な姿勢はどれか。2つ選べ。

1
1
2
2
3
3
4
4
5
5
28
理学療法士専門問題 -
第42回 午前
重要度:重要
58歳の女性。先天性股関節脱臼で小児期にリーメンビューゲル装具で加療した。10年前から歩行時に左股関節痛があった。痛みは進行し、1年前から杖が必要となり、靴下の着脱も困難となったため手術を受けた。股関節の術前と術後のエックス線単純正面像(別冊No.4A、B)を別に示す。左股関節の術前エックス線写真の所見で認められないのはどれか。

1
骨嚢胞
2
骨棘形成
3
関節裂隙狭小化
4
臼蓋形成不全
5
内反股
29
理学療法士専門問題 -
第42回 午前
重要度:最重要
58歳の女性。先天性股関節脱臼で小児期にリーメンビューゲル装具で加療した。10年前から歩行時に左股関節痛があった。痛みは進行し、1年前から杖が必要となり、靴下の着脱も困難となったため手術を受けた。股関節の術前と術後のエックス線単純正面像(別冊No.4A、B)を別に示す。術後の理学療法で誤っているのはどれか。

1
術後2日目から中殿筋の筋力強化を行う。
2
術後3日目から全荷重を開始する。
3
術後10日目から水中運動療法を行う。
4
入院中から靴下の着脱は外旋位で行うよう指導する。
5
退院後も低いソファーに座ることを避ける。
30
理学療法士専門問題 -
第42回 午前
重要度:重要
60歳の女性。主婦。歩行開始時に両膝関節内側に疼痛が出現した。内反型変形性膝関節症と診断され、大腿脛骨角180°、BMI指数29.0であった。理学療法で適切でないのはどれか。
1
SLRによる大腿四頭筋強化訓練
2
起立・歩行時の外側楔状足底板の使用
3
外出時の軟性膝装具の使用
4
1日1万歩のウォーキング
5
1日30分間の自転車エルゴメーター
広告