理学療法士問題表示
理学療法士国家試験
大分類
脳血管障害
20問表示中
広告
3
理学療法士実地問題 -
第60回 午前
重要度:重要
59歳の男性。右利き。脳梗塞による左片麻痺。発症21日目のBrunnstrom法ステージは上肢Ⅳ、手指Ⅲ、下肢Ⅲ。表在感覚は上肢手指下肢共に鈍麻。椅子座位で机上の布を用いたワイピングの上肢機能的訓練を図のように行った。訓練の目的はどれか。2つ選べ。

1
握力の改善
2
手指の巧緻性の改善
3
肘の分離運動の改善
4
手背の表在感覚の改善
5
肩甲帯の前方突出運動の改善
状況説明
72 歳の男性。脳血管障害による左片麻痺。Brunnstrom 法ステージ上肢Ⅲ、手指Ⅲ、下肢Ⅴ。回復期リハビリテーション病棟へ転棟した。病室ではベッドから起き上がり、端座位は可能である。車椅子からベッドへの移乗動作は自力でできるが、ベッドから車椅子への移乗動作は触れる程度の最小介助が必要である。
8
理学療法士実地問題 -
第60回 午前
重要度:重要
この患者の病棟でのベッドから車椅子への移乗動作自立に向けた指導で適切なのはどれか。
1
浅く腰掛けさせる。
2
麻痺側下肢を軸に回転する。
3
車椅子はベッドに平行に設置する。
4
足部を膝より前方へ出して立ち上がる。
5
ベッドの高さを車椅子より低くしておく。
9
理学療法士実地問題 -
第60回 午前
重要度:重要
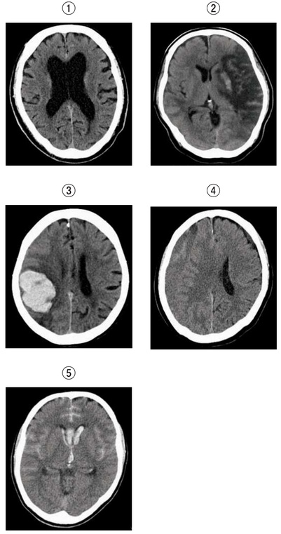
68歳の女性。2か月前に頭部打撲歴あり。10日前から歩行障害が出現し徐々に悪化した。病院を受診したところ緊急入院となった。穿頭血腫ドレナージ術後、症状は改善した。別に示す頭部CT画像 のうち、この患者の術前の頭部CT画像はどれか。

1
①
2
②
3
③
4
④
5
⑤
10
理学療法士実地問題 -
第60回 午前
重要度:最重要
49歳の男性。右利き。右中大脳動脈領域の脳梗塞。回復期リハビリテーション病棟で作業療法が開始された。左上下肢に中等度の運動麻痺がある。BITは通常49/146、行動47/81。車椅子では常に図のような姿勢がみられた。この患者への作業療法で最も適切なのはどれか。

1
PQRST法
2
間隔伸長法
3
視覚走査法
4
遮断除去法
5
視覚イメージ法
11
理学療法士実地問題 -
第60回 午前
重要度:標準
32歳の女性。右利き。運輸会社で10年間事務を担当している。1か月前に脳梗塞を発症したが、運動麻痺は認めないため退院し職場復帰した。与えられた仕事は意欲的に集中して行い、指示されたことを実行することはできていたが、上司からは自分で段取りを考えて行動ができないとの指摘を受けることが多くなった。この患者の高次脳機能障害の検査で最も優先されるのはどれか。
1
BADS
2
BIT
3
CAS
4
CAT
5
RBMT
広告
12
理学療法士実地問題 -
第60回 午前
重要度:標準
72歳の女性。慢性心不全。左室駆出率〈LVEF〉は35%、NYHA分類はⅢ度。今回、心不全の急性増悪で入院した。経過良好で退院に向けて作業療法が開始された。認知機能の低下を認める。入院前は平屋に独居で生活しており、自宅退院に向けて不安が残る。介護保険の要介護認定は未申請である。退院に向けた作業療法で誤っているのはどれか。
1
要介護認定の申請を勧める。
2
入浴は半身浴とするよう指導する。
3
心電図モニター下で炊事動作訓練を行う。
4
Borg指数15~18の範囲での活動を指導する。
5
日常生活活動は最高心拍数の50~70%で行う。
13
理学療法士実地問題 -
第60回 午前
重要度:標準
63歳の男性。アルコール依存症。就職直後より毎晩大量に飲酒していた。40歳代で入院し診断を受けた。以後は定職に就かず、連続飲酒による入退院を繰り返している。最近、気分の変動や失見当識が出現し、羽ばたき振戦も認められるようになった。最も考えられるのはどれか。
1
肝性脳症
2
進行麻痺
3
正常圧水頭症
4
尿毒症性脳症
5
Cushing症候群
29
理学療法士専門問題 -
第60回 午前
重要度:標準
検査と下位項目の組合せで正しいのはどれか。
1
WPPSI 集団参加
2
新版K式発達検査 処理速度
3
田中・ビネー知能検査 ワーキングメモリー
4
S-M社会生活能力検査 自己統制
5
日本版ミラー幼児発達スクリーニング検査 社会性
38
理学療法士専門問題 -
第60回 午前
重要度:重要
脳卒中治療ガイドライン2021のリハビリテーションで推奨グレードが最も高いのはどれか。
1
運動障害に対する薬物療法
2
半側空間無視に対する鏡像を用いた訓練
3
中枢性疼痛に対する反復性経頭蓋磁気刺激
4
摂食嚥下障害に対するバルーンカテーテル訓練
5
軽度から中等度の上肢麻痺に対する麻痺側上肢を強制使用させる訓練
41
理学療法士専門問題 -
第60回 午前
重要度:低
朝6時に朝食をとり、8時に家を出て同じコースを歩き回り、10時にスーパーで同じ食材を購入して帰宅する行動を毎日繰り返す認知症患者で、最も考えられるのはどれか。
1
HIV認知症
2
血管性認知症
3
前頭側頭型認知症
4
Lewy小体型認知症
5
Alzheimer型認知症
広告
6
理学療法士実地問題 -
第60回 午後
重要度:最重要
52歳の男性。右利き。脳梗塞による右片麻痺。発症後14日目に回復期リハビリテーション病棟へ転棟した。意識は清明で、認知機能に問題はない。Brunnstrom法ステージ上肢Ⅲ、手指Ⅲ、下肢Ⅴ。疼痛や浮腫はない。機能回復を目的とした作業療法を図に示す。現時点でこの患者の右上肢に行う訓練で最も適切なのはどれか。

1
ペグ差し
2
立位での輪投げ
3
両手でボールを受ける
4
輪を背中で持ち替え
5
肘伸展位での窓拭き
7
理学療法士実地問題 -
第60回 午後
重要度:重要
19歳の男性。身長170cm、体重60kg。頸髄損傷(第6頸髄節まで機能残存)。車椅子は全幅70cm、全長120cm。車椅子とベッド間の移乗は前・後方移動で自立し、ADLは自助具や環境整備で自立の見込みを得た。住宅改修図 を別に示す。正しいのはどれか。

1
①屋外スロープの勾配を1/6にした。
2
②居間と台所の開口部の幅を80cmにした。
3
③車椅子が回転するポーチの幅を140cmにした。
4
④歩行者とすれ違うための廊下幅を120cmにした。
5
⑤床面から浴槽の縁までの高さを80cmにした。
13
理学療法士実地問題 -
第60回 午後
重要度:標準
48歳の男性。右利き。脳梗塞で左片麻痺。この患者のSOAPによる作業療法記録 を別に示す。記入箇所で適切でないのはどれか。

1
①
2
②
3
③
4
④
5
⑤
15
理学療法士実地問題 -
第60回 午後
重要度:標準
30歳の女性。統合失調症。高校在学中に発症し休学をしながらも高校を卒業した。その後数回の入退院を経て、現在精神科デイケアを利用している。「作業の手順が分からない」、「説明がよく分からない」と訴えるため、認知機能検査を実施した。図版の一部を図に示す。この検査で評価するのはどれか。

1
運動機能
2
遂行機能
3
言語流暢性
4
注意と処理速度
5
ワーキングメモリー
24
理学療法士専門問題 -
第60回 午後
重要度:重要
高次脳機能障害の評価方法 を別に示す。この評価方法はどれか。

1
BADS
2
BIT
3
FAB
4
RBMT
5
SLTA
広告
8
理学療法士実地問題 -
第59回 午前
重要度:重要
68歳の女性。脳梗塞で回復期リハビリテーション病院に入院中。作業療法中に図のような状態を示した。考えられる障害はどれか。

1
観念失行
2
拮抗失行
3
相貌失認
4
脳梁失行
5
連合型視覚失認
9
理学療法士実地問題 -
第59回 午前
重要度:最重要
55歳の女性。右利き。脳梗塞による左片麻痺。発症15日目のBrunnstrom法ステージは上肢Ⅲ、手指Ⅲ、下肢Ⅲ。歩行中、左膝折れや反張膝はないが軽度の内反尖足を認める。感覚障害および高次脳機能障害を認めない。早期に移動能力を獲得するために最も適切な装具はどれか。
1
靴型装具
2
硬性膝装具
3
短下肢装具
4
長下肢装具
5
骨盤帯付長下肢装具
19
理学療法士実地問題 -
第59回 午前
重要度:標準
70歳の男性。統合失調症。数回の入院歴があるが、精神科デイケアを利用しながら独居生活を継続していた。半年前に脳梗塞を発症し、軽度の右片麻痺を呈した。最近、体力低下が原因でデイケアへの通所回数が減り、「家事ができなくなった」と訴えた。今後、独居生活が困難になることが予想された。現時点で、精神科デイケアの担当作業療法士が優先して検討すべきものはどれか。
1
精神科病院への入院
2
介護保険サービスの利用
3
同行援護のサービス利用
4
重度認知症患者デイケアの利用
5
障害者地域生活支援センターの見学
3
理学療法士実地問題 -
第59回 午後
重要度:重要
62歳の女性。5か月前に左半身の脱力のため救急車で搬入され、右視床出血と診断された。現在、Brunnstrom法ステージは上肢Ⅳ、手指Ⅲ、下肢Ⅲであり、座位では右に重心が偏移し、頸部は右に回旋していた。図のような検査所見を呈している。作業療法プログラムで最も適切なのはどれか。

1
右側から声掛けを行う。
2
座位で左から右に輪移動を行う。
3
頸部を左回旋させて塗り絵を行う。
4
ADL訓練は視覚認知の改善を図ってから行う。
5
机上課題では左側に壁がくるように座席を配置する。
7
理学療法士実地問題 -
第59回 午後
重要度:重要
68歳の女性。くも膜下出血後の四肢麻痺のため作業療法を行っている。現在、四肢の麻痺は、ほぼ認めない。高次脳機能障害が残存しMMSEを実施した。結果 を別に示す。次に行う検査で最も優先されるのはどれか。


1
AMPS
2
BADS
3
BIT
4
RBMT
5
VPTA
広告