理学療法士問題表示
理学療法士国家試験
大分類
脳血管障害
20問表示中
広告
6
理学療法士実地問題 -
第50回 午前
重要度:最重要
65歳の男性。右利き。脳梗塞による片麻痺。Brunnstrom法ステージは上肢、手指、下肢ともにⅢ。回復期リハビリテーション病棟では車椅子で移動している。発症後3か月の頭部MRIを示す。この患者が基本動作練習を開始した際に観察されるのはどれか。

1
左側からの方が起き上がりやすい。
2
座位練習で右手を支持に使うことができない。
3
立位保持では両下肢に均等に荷重ができる。
4
車椅子駆動の際に廊下の左壁によくぶつかる。
5
練習を繰り返しても装具装着の手順を間違える。
7
理学療法士実地問題 -
第50回 午前
重要度:重要
19歳の男性。オートバイ事故による頭部外傷で入院加療中。受傷後1か月。JCS(Japan coma scale)はⅠ-1。右上下肢は良く動かすが、左上下肢の筋緊張は亢進し、上肢屈曲位、下肢伸展位の姿勢をとることが多い。座位保持は可能であるが、体幹の動揺がみられる。この時期の理学療法で適切なのはどれか。2つ選べ。
1
介助なしでのT字杖を用いた歩行練習
2
臥位での左上肢のFrenkel体操
3
座位での左下肢筋の持続伸張
4
立位でのバランス練習
5
階段を降りる練習
17
理学療法士実地問題 -
第50回 午前
重要度:標準
80歳の女性。多発性脳梗塞。動作の観察から、明らかな運動麻痺はみられないが軽度の感覚障害が予想される。軽度の認知症があり、口頭での詳細な手順の説明は理解しにくい。深部感覚検査として適切なのはどれか。
1
非検査肢の自動運動による模倣試験
2
非検査肢の他動運動による模倣試験
3
検査肢の自動運動による再現試験
4
検査肢の他動運動による再現試験
5
関節定位覚(母指探し)検査
20
理学療法士実地問題 -
第50回 午前
重要度:標準
60歳の男性。脳梗塞による片麻痺と高次脳機能障害に対して理学療法を実施している。時折、能力以上の動作を行おうとするために転倒のリスクが指摘されていた。理学療法終了後、搬送担当者がわずかに目を離した間に立ち上がりバランスを崩して床に座りこんだが、明らかな打撲や血圧の変化はみられなかった。対応として適切でないのはどれか。
1
家族に経過を説明する。
2
再発防止の具体案を提案する。
3
口頭で速やかに主治医へ報告する。
4
発生した状況を詳細に文書で報告する。
5
理学療法士に責任がないことを明確にする。
25
理学療法士専門問題 -
第50回 午前
重要度:標準
視床出血の発症後2か月で患側上肢にアロディニアを認める。発症要因はどれか。
1
中枢神経系の可塑的変化
2
上肢屈筋群の筋緊張の亢進
3
肩関節周囲筋への運動の過負荷
4
腱板部分断裂による炎症
5
肘関節の拘縮変形
広告
26
理学療法士専門問題 -
第50回 午前
重要度:重要
脳卒中で小脳皮質から上小脳脚に病巣がある場合にみられやすい症状はどれか。
1
感覚障害
2
運動麻痺
3
ジストニア
4
動作時振戦
5
パーキンソニズム
5
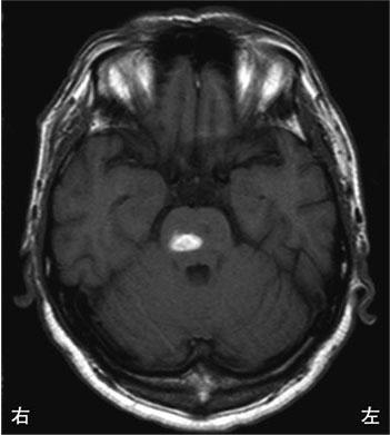
理学療法士実地問題 -
第50回 午後
重要度:重要
55歳の男性。突然のめまいを自覚し、歩行困難を呈したため搬送された。頭部MRIのTI強調像を示す。みられる所見はどれか。

1
JCSⅢ-100
2
左顔面の痛覚低下
3
左上肢の小脳失調
4
右上肢の運動麻痺
5
左下肢の深部感覚低下
6
理学療法士実地問題 -
第50回 午後
重要度:重要
87歳の女性。脳卒中による重度の右片麻痺。回復期リハビリテーション病棟に入院中。座位での基本動作は自立。認知機能は保たれている。短下肢装具と4点杖で5 mまでは自力での歩行が可能。介助があればT字杖で20 m程度の歩行は可能。ここ2か月は状態に大きな変化はみられない。最近、介護老人保健施設への退院が決まった。退院後の生活上の移動手段で実用的なのはどれか。
1
T字杖を使用した介助歩行
2
4点杖を使用した自力歩行
3
4点杖を使用した介助歩行
4
手すりを利用した自力歩行
5
車椅子
14
理学療法士実地問題 -
第50回 午後
重要度:最重要
70歳の男性。身長180 cm、体重90 kg。脳梗塞のため麻痺肢に内反尖足がみられる。10 mであれば独歩可能であるが、軽度の分回し歩行となる。意識してゆっくりと歩けば分回しを軽減することは可能であるが、遊脚相の股関節屈曲は増加し立脚中期に膝過伸展がみられる。2動作前型で屋外歩行の自立を目標に理学療法を進めている。この患者に適切なのはどれか。
1
装具は不要
2
軟性足装具
3
プラスチック短下肢装具(ショートタイプ、継手なし)
4
プラスチック短下肢装具(つま先までの標準型、継手なし)
5
金属支柱付短下肢装具
18
理学療法士実地問題 -
第50回 午後
重要度:重要
75歳の男性。脳卒中による左片麻痺。発症後6か月経過。Brunnstrom法ステージは上肢、下肢ともにⅢ。AFOとT字杖で屋内歩行は自立している。自宅浴室の現状の見取り図と環境整備案とを図に示す。環境整備案のうち最も必要性が低いのはどれか。

1
①バスボードの利用
2
②手すりの設置
3
③折り戸への変更
4
④段差の解消
5
⑤シャワーチェアの利用
広告
24
理学療法士専門問題 -
第50回 午後
重要度:重要
脳卒中患者の状態を症状なしから死亡までに分類できるのはどれか。
1
Fugl-Meyer assessment
2
GCS(Glasgow coma scale)
3
Modified Ashworth scale
4
Modified Rankin scale
5
SIAS
25
理学療法士専門問題 -
第50回 午後
重要度:重要
右延髄背外側部の脳梗塞による障害で認められるのはどれか。
1
左内反足
2
右下垂足
3
右の痛覚脱失
4
左の深部感覚障害
5
右下肢の運動失調
3
理学療法士実地問題 -
第49回 午前
重要度:最重要
70歳の女性。右利き。脳梗塞を発症し搬送された。発症後2か月の頭部MRI示す。この画像で認められる脳梗塞の部位はどれか。

1
視床
2
内包
3
被殻
4
尾状核
5
放線冠
4
理学療法士実地問題 -
第49回 午前
重要度:最重要
70歳の女性。右利き。脳梗塞を発症し搬送された。発症後2か月の頭部MRI示す。現時点で最も出現しやすい症状はどれか。

1
運動麻痺
2
嚥下障害
3
視覚障害
4
聴覚障害
5
失語症
5
理学療法士実地問題 -
第49回 午前
重要度:最重要
45歳の男性。脳出血による左片麻痺。Brunnstrom法ステージは上肢Ⅱ、下肢Ⅲ。感覚障害は中等度。非麻痺側機能はおおむね良好。裸足での歩行は可能であるが、安定性が低下し速度も遅い。麻痺側の遊脚相で分回し歩行と強い内反尖足が出現する。立脚中期の膝ロッキングがみられる。この患者に適した装具はどれか。
1
長下肢装具
2
金属支柱付膝装具
3
クレンザック足継手付短下肢装具
4
プラスチック短下肢装具(足継手なし)
5
靴型装具(長靴)
広告
7
理学療法士実地問題 -
第49回 午前
重要度:重要
72歳の女性。右中大脳動脈領域の脳梗塞による左片麻痺。立位時に左下肢の外旋と足部内反が著明であり、歩行時に装具を装着している。最も適応となりにくいのはどれか。
1
ツイスター
2
非麻痺側補高
3
逆Thomasヒール
4
外側フレアヒール
5
内側Yストラップ
25
理学療法士専門問題 -
第49回 午前
重要度:重要
脳卒中患者で内頸動脈系と比べて椎骨脳底動脈系の病変でみられやすいのはどれか。
1
失語症
2
認知症
3
同名半盲
4
半側無視
5
運動失調
26
理学療法士専門問題 -
第49回 午前
重要度:重要
回復期リハビリテーション病棟退院後の片麻痺患者に対して訪問リハビリテーションが導入された。リハビリテーションの目標で優先度が低いのはどれか。
1
麻痺肢の関節可動域制限の予防
2
麻痺肢の運動麻痺の改善
3
非麻痺肢の筋力の維持
4
閉じこもりの予防
5
移動能力の維持
3
理学療法士実地問題 -
第49回 午後
重要度:重要
65歳の男性。右利き。左上下肢の脱力のため搬送された。頭部MRAを示す。閉塞している血管はどれか。

1
左前大脳動脈
2
左中大脳動脈
3
右後大脳動脈
4
右内頸動脈
5
脳底動脈
4
理学療法士実地問題 -
第49回 午後
重要度:最重要
65歳の男性。右利き。左上下肢の脱力のため搬送された。頭部MRAを示す。この患者に絵の模写を行わせると、図のように描いた。この患者に伴いやすい高次脳機能障害はどれか。

1
失語症
2
観念失行
3
純粋失読
4
左右失認
5
着衣障害
広告