理学療法士問題表示
理学療法士国家試験
大分類
脳血管障害
20問表示中
広告
40
理学療法士専門問題 -
第57回 午前
重要度:標準
脳卒中後のPusher現象について誤っているのはどれか。
1
右半球損傷に多い。
2
垂直判断の障害が関係する。
3
身体軸が非麻痺側に傾斜する。
4
座位だけでなく立位でも認められる。
5
端座位で体幹を正中位に近づけると非麻痺側の股関節が外旋する。
42
理学療法士専門問題 -
第57回 午前
重要度:重要
急性期の肩手症候群への理学療法として正しいのはどれか。
1
CI療法
2
Codman体操
3
肩関節周囲筋の再教育
4
BFOによる良肢位の保持
5
肩関節周囲筋の積極的な他動伸張運動
14
理学療法士実地問題 -
第57回 午後
重要度:最重要
60歳の男性。7年前から歩行時にふらつきを自覚し、6年前から話し方が単調で途切れ途切れとなり膀胱直腸障害と起立性低血圧を認めた。四肢の固縮や振戦が徐々に進行し、2年前から車椅子で移動するようになった。最近、声が小さくなり呼吸困難感を訴えるようになった。頭部MRIのFLAIR画像で水平断(A)および矢状断(B)を示す。この疾患で合併する可能性が高いのはどれか。

1
失 語
2
拮抗失行
3
声帯麻痺
4
下方注視麻痺
5
他人の手徴候
17
理学療法士実地問題 -
第57回 午後
重要度:標準
64歳の女性。右利き。脳梗塞。約1か月前に左大脳に発症。現在は聴覚理解に問題はないが、発語は非流暢かつ緩徐である。話す言葉の量は少なく、発語の際には多大な努力を要している。四肢の麻痺はみられない。この患者への対応として正しいのはどれか。
1
患者の話す内容が文法的に誤っていれば医療者が即座に細かく修正する。
2
患者が「はい」「いいえ」で答えることができるように質問する。
3
医療者が口頭で説明をするときにはジェスチャーを交える。
4
コミュニケーションエイドを導入する。
5
患者にメモをとるように指導する。
19
理学療法士実地問題 -
第57回 午後
重要度:最重要
72歳の男性。脳梗塞による左片麻痺。座位姿勢と机上での検査結果を図に示す。理学療法として誤っているのはどれか。

1
視覚探索課題を行う。
2
後頸部に振動刺激を行う。
3
車椅子の右側のブレーキレバーを延長する。
4
対象物が右へ偏倚するプリズム眼鏡をかけて練習する。
5
車椅子駆動時に進行方向の左側に注意するよう指導する。
広告
42
理学療法士専門問題 -
第57回 午後
重要度:最重要
脳卒中片麻痺の理学療法で正しいのはどれか。
1
装具は機能回復を阻害する。
2
CPMは下肢の分離運動を促通する。
3
立位練習は装具が完成してから開始する。
4
トレッドミル歩行練習で歩行速度が向上する。
5
歩行練習は座位保持が可能になってから開始する。
27
理学療法士専門問題 -
第56回 午前
重要度:標準
発症後1か月の脳卒中片麻痺患者。2か月後に予定されている退院時の歩行能力の目標を設定するための情報として、優先度が最も低いと考えられるのはどれか。
1
画像所見
2
糖尿病の合併
3
発症前のADL
4
歩行能力の回復経過
5
Brunnstrom法ステージの回復経過
36
理学療法士専門問題 -
第56回 午前
重要度:標準
失語症の型と症状の組合せで正しいのはどれか。
1
Wernicke失語 ── 聴覚理解が保たれる。
2
超皮質性失語 ── 復唱が障害される。
3
Broca失語 ── 自発言語が障害される。
4
伝導失語 ── 復唱が保たれる。
5
健忘失語 ── 聴覚理解が障害される。
2
理学療法士実地問題 -
第56回 午後
重要度:最重要
72歳の女性。心原性脳梗塞。入院時、血圧145/78 mmHg、心拍数102/分、GCS E4 V5 M6、Brunnstrom法ステージ左上肢II、左下肢II、左上下肢筋緊張低下。入院時のMRIを示す。翌日に理学療法を行う場合、離床練習を中止すべき所見はどれか。

1
心拍数105/分
2
GCS E2 V2 M5
3
血圧160/72 mmHg
4
左上下肢筋緊張軽度亢進
5
Brunnstrom法ステージ左上肢III、左下肢III
33
理学療法士専門問題 -
第56回 午後
重要度:重要
脳血管障害の片麻痺について正しいのはどれか。
1
四肢の遠位部と比べて四肢の近位部の回復が遅れることが多い。
2
上肢の麻痺と比べて下肢の麻痺の回復が遅れることが多い。
3
上肢に痙縮があると肘関節が屈曲することが多い。
4
共同運動が出現した後に連合反応が出現する。
5
発症直後は筋緊張が高まることが多い。
広告
6
理学療法士実地問題 -
第55回 午前
重要度:標準
脳卒中機能評価法〈SIAS〉の麻痺側運動機能テストの様子を図に示す。関節拘縮がない場合、3つのテストの合計点はどれか。

1
5点
2
6点
3
7点
4
8点
5
9点
12
理学療法士実地問題 -
第55回 午前
重要度:標準
66歳の女性。左中大脳動脈領域のアテローム血栓性脳梗塞でBroca失語と重度の右片麻痺を認める。理学療法実施の際、コミュニケーションに対する配慮で正しいのはどれか。
1
使用頻度の低い単語を用いる。
2
出にくい言葉は先回りして言う。
3
できるだけ長い文章で話しかける。
4
意思伝達には易しい漢字を用いる。
5
ジェスチャーは可能な限り用いない。
27
理学療法士専門問題 -
第55回 午前
重要度:低
「歯を磨くまねをしてください」という口頭命令ではうまくできないが、自発的には歯磨きができる状態はどれか。
1
観念失行
2
拮抗失行
3
構成失行
4
観念運動失行
5
肢節運動失行
45
理学療法士専門問題 -
第55回 午前
重要度:最重要
脳卒中後の左片麻痺患者に対するADL練習として正しいのはどれか。
1
上衣を右上肢から着衣する。
2
浴槽に右下肢からまたいで入る。
3
階段を上るときに左下肢を先に出す。
4
階段を下りるときに右下肢を先に出す。
5
車椅子からベッドに移乗するときに左半身をベッドに寄せる。
8
理学療法士実地問題 -
第55回 午後
重要度:低
検査用紙を図に示す。1から25までの数字を1から順にできるだけ速く線を引いてつなぐのに要する時間を測定する検査はどれか。

1
BADS
2
BIT
3
CAT
4
Stroop test
5
TMT-A
広告
9
理学療法士実地問題 -
第55回 午後
重要度:標準
70歳の男性。脳梗塞による右片麻痺。Brunnstrom法ステージ上肢Ⅲ、下肢Ⅳ。座位にて、肘関節伸展位で肩関節90°屈曲運動を指示したところ、屈曲共同運動パターンがみられた。この患者で促通すべき筋はどれか。
1
棘下筋
2
広背筋
3
大菱形筋
4
上腕二頭筋
5
上腕三頭筋
20
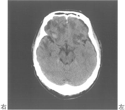
理学療法士実地問題 -
第55回 午後
重要度:重要
75歳の男性。脳挫傷。飲酒しトイレで倒れていた。頭部CTを示す。明らかな運動麻痺はなく、反復唾液嚥下テスト〈RSST〉は5回/30秒である。改訂水飲みテスト〈MWST〉や食物テストでは嚥下後の呼吸は良好でむせもない。義歯を使用すれば咀嚼可能であるが、実際の食事場面では自分で食物を口に運ぼうとしない。この患者の摂食嚥下で障害されているのはどれか。

1
先行期
2
準備期
3
口腔期
4
咽頭期
5
食道期
29
理学療法士専門問題 -
第55回 午後
重要度:標準
遂行機能障害の診断に用いる検査はどれか。
1
WCST
2
WAIS-Ⅲ
3
図形模写
4
Reyの複雑図形検査
5
PASAT〈paced auditory serial addition test〉
33
理学療法士専門問題 -
第55回 午後
重要度:最重要
Brunnstrom法ステージの検査において、ステージと可能な随意運動の組合せで正しいのはどれか。
1
手指Ⅲ――座位で不十分な全指伸展
2
上肢Ⅲ――座位で肩関節内転・肘関節伸展・前腕回内
3
下肢Ⅲ――座位で膝関節屈曲位で踵を床につけたまま足関節背屈
4
下肢Ⅳ――立位で股関節伸展位での膝関節屈曲
5
下肢Ⅴ――立位で股関節外転
44
理学療法士専門問題 -
第55回 午後
重要度:標準
急性期脳血管障害に対して、積極的に離床を行ってもよいのはどの場合か。
1
JCS3桁
2
重度な運動麻痺
3
神経症状の増悪
4
収縮期血圧220 mmHg
5
重篤な全身性合併症
広告