理学療法士問題表示
理学療法士国家試験
大分類
神経筋・感覚障害
20問表示中
広告
22
理学療法士専門問題 -
第44回 午前
重要度:重要
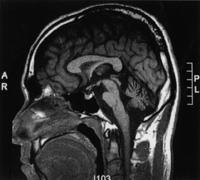
55歳の男性。3年前からろれつが回らず歩行が不安定で介助が必要であり、起き上がるとめまいが起こる。上肢の測定障害のためADLが制限されている。頭部MRIを示す。この患者に対する適切な治療計画はどれか。

1
四つ這い訓練
2
主動筋と拮抗筋との協調運動訓練
3
反動を利用した立ち上がり訓練
4
ロフストランド杖による歩行訓練
5
改造自動車を利用した移動の指導
24
理学療法士専門問題 -
第44回 午前
重要度:重要
40歳の男性。Charcot-Marie-Tooth病と診断され、最近跛行を呈するようになった。リハビリテーション科を受診し理学療法が開始された。この患者にみられるのはどれか。
1
脊柱側弯変形
2
股関節屈曲制限
3
膝関節屈曲拘縮
4
腓腹筋仮性肥大
5
下垂足
25
理学療法士専門問題 -
第44回 午前
重要度:重要
40歳の男性。Charcot-Marie-Tooth病と診断され、最近跛行を呈するようになった。リハビリテーション科を受診し理学療法が開始された。この患者に使用する装具はどれか。
1
徳大式ばね付装具
2
長下肢装具
3
膝固定装具
4
短下肢装具
5
中足骨パッド
50
理学療法士専門問題 -
第44回 午前
重要度:標準
神経障害の徴候でないのはどれか。
1
Froment徴候
2
Homans徴候
3
Beevor徴候
4
Phalen徴候
5
Tinel徴候
63
理学療法士専門問題 -
第44回 午前
重要度:重要
Parkinson病患者の歩行の特徴はどれか。2つ選べ。
1
立脚側への体幹の側屈
2
腕振りの消失
3
体幹の前屈
4
反張膝
5
下垂足
広告
64
理学療法士専門問題 -
第44回 午前
重要度:重要
Parkinson病患者の理学療法で正しいのはどれか。
1
安静時振戦にはPNFが適応となる。
2
すくみ足には外的リズム刺激が有効である。
3
無動が強い時期には立位でのバランス練習を行う。
4
幻覚が出現している時期には理学療法は行わない。
5
症候性の夜間頻回覚醒は日中の活動を促すことで改善がみられる。
65
理学療法士専門問題 -
第44回 午前
重要度:最重要
多発性硬化症患者の理学療法で適切なのはどれか。
1
球後視神経炎では眼帯をして運動療法を行う。
2
有痛性強直性痙攣に対して超音波療法を行う。
3
Lhermitte徴候に対して神経筋促通手技を行う。
4
Uhthoff現象が出現しないような運動負荷を行う。
5
ステロイドパルス療法では直後から筋力増強運動を行う。
66
理学療法士専門問題 -
第44回 午前
重要度:標準
Guillain-Barré症候群について正しいのはどれか。
1
呼吸障害は合併しない。
2
先行感染症状がみられる。
3
軸索型の予後は良好である。
4
髄液中の細胞増多がみられる。
5
左右非対称に四肢の筋力低下が進行する。
73
理学療法士専門問題 -
第44回 午前
重要度:重要
Duchenne型筋ジストロフィーのステージ4(厚生省筋萎縮症研究班機能障害度分類による)で立位時にみられる特徴はどれか。
1
頸部前屈
2
腰椎前弯
3
股関節過伸展
4
踵 足
5
足部外反
20
理学療法士実地問題 -
第43回 午前
重要度:標準
38歳の男性。30歳ころから歩行時にふらふらする感じを自覚していた。最近、階段昇降で手すりが必要となり、構音障害と上肢の協調性低下も出現した。症状が徐々に進行し、屋内つたい歩きとなったため入院した。意識は清明。知能は正常である。感覚障害はなく、病的反射も認めない。兄も同様の症状を呈している。臨床所見として認められるのはどれか。2つ選べ。
1
企図振戦
2
膝踵試験異常
3
Romberg徴候
4
Lhermitte徴候
5
ミオトニア現象
広告
21
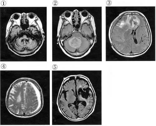
理学療法士専門問題 -
第43回 午前
重要度:標準
38歳の男性。30歳ころから歩行時にふらふらする感じを自覚していた。最近、階段昇降で手すりが必要となり、構音障害と上肢の協調性低下も出現した。症状が徐々に進行し、屋内つたい歩きとなったため入院した。意識は清明。知能は正常である。感覚障害はなく、病的反射も認めない。兄も同様の症状を呈している。MRI(写真①~⑤)を示す。この症例はどれか。

1
①
2
②
3
③
4
④
5
⑤
22
理学療法士専門問題 -
第43回 午前
重要度:重要
65歳の男性。Parkinson病。両上肢の振戦、全身のこわばり及びすくみ足現象がある。入院中の薬物療法と運動療法によって室内歩行が可能になったが、転倒の危険がある。退院前指導として適切でないのはどれか。
1
便所に手すりを設置する。
2
掛け布団を軽いものに変える。
3
歩行開始前に柔軟体操を行う。
4
便座の高さを膝の位置よりも高くする。
5
床のじゅうたんを柔らかいものに変える。
71
理学療法士専門問題 -
第43回 午前
重要度:標準
Guillain-Barré症候群で起こりにくいのはどれか。
1
異常感覚
2
呼吸困難
3
嚥下障害
4
視覚障害
5
起立性低血圧
72
理学療法士専門問題 -
第43回 午前
重要度:重要
Parkinson病のすくみ足への対処法で誤っているのはどれか。
1
常に同じ側の足から踏み出させる。
2
一旦、足を後ろへ引いてから踏み出させる。
3
「いち、に」などの声を出しながら踏み出させる。
4
床にはしご状の目印を付けてまたがせる。
5
目標物を注視させて歩かせる。
74
理学療法士専門問題 -
第43回 午前
重要度:最重要
多発性硬化症の理学療法で正しいのはどれか。2つ選べ。
1
歩行障害に対して早期から装具を作製する。
2
視野欠損に対して照明などの環境整備を行う。
3
痙縮に対して温熱療法を行う。
4
筋力低下に対して1RMを反復し強化する。
5
運動失調に対して重錘を負荷して訓練を行う。
広告
79
理学療法士専門問題 -
第43回 午前
重要度:重要
Duchenne(デュシェンヌ)型筋ジストロフィーで早期から短縮を起こしやすい筋はどれか。2つ選べ。
1
中殿筋
2
腸腰筋
3
長腓骨筋
4
前脛骨筋
5
大腿筋膜張筋
17
理学療法士実地問題 -
第42回 午前
重要度:重要
60歳の男性。6年前にパーキンソン病と診断され、ヤールの重症度分類ステージIIIである。歩行訓練で正しいのはどれか。2つ選べ。

1
1
2
2
3
3
4
4
5
5
18
理学療法士実地問題 -
第42回 午前
重要度:重要
70歳の男性。パーキンソン病。ヤールの重症度分類ステージIV。椅子からの立ち上がり動作が図のようになり、上手にできないことが多い。立ち上がり動作の訓練として適切なのはどれか。2つ選べ。

1
足関節を底屈させて床を蹴るようにする。
2
体幹を前屈させてお辞儀をするようにする。
3
両上肢を前方へ出すようにする。
4
殿部が座面を離れると同時に膝関節を伸展する。
5
座面を膝の位置より低いものにする。
19
理学療法士実地問題 -
第42回 午前
重要度:重要
35歳の女性。四肢のしびれで発症し、視力障害、不全四肢麻痺、体性感覚障害および息苦しさの増悪と寛解を繰り返した。小脳症状はない。MRIでは脳脊髄白質に多発性・散在性の脱髄斑が認められた。理学療法で適切なのはどれか。
1
胸郭の可動性拡大運動
2
ボルグ指数で「きつい」運動
3
しびれに対するホットパック
4
水温38~39℃の水中歩行訓練
5
下肢に重錘を装着しての歩行訓練
20
理学療法士実地問題 -
第42回 午前
重要度:重要
10歳の男児。図のように床から立ち上がる。筋力低下部位で正しいのはどれか。2つ選べ。

1
大殿筋
2
腸腰筋
3
大腿四頭筋
4
前脛骨筋
5
ヒラメ筋
広告