作業療法士問題表示
作業療法士国家試験
                        大分類
                    
                    内科疾患
                    20問表示中
                
            
                広告
            
            
            
            
                 
            
        
            14
        
        
                                    作業療法士実地問題 - 
                                第60回 午前
            
            
            
        56歳の男性。身長165cm、体重45kg。肺癌の外来化学療法の治療中であったが、1週前から息苦しさがあり、呼吸困難が増悪したため緊急入院した。精査の結果、両肺の癌性胸膜炎と診断され、胸部単純CTで両側胸水を認めた。意識は清明。心拍数60/分、整。血圧102/78mmHg。呼吸数20/分。SpO2 95%(room air)。痰の喀出量が多く、頻回に努力性の咳嗽が出現し、安静時でも呼吸困難を訴えている。理学療法の方針で適切なのはどれか。
    
    
    
                1
            
            
                                    背臥位をとらせる。
                            
            
                2
            
            
                                    有酸素運動を行う。
                            
            
                3
            
            
                                    理学療法は中止する。
                            
            
                4
            
            
                                    ハフィングを指導する。
                            
            
                5
            
            
                                    口すぼめ呼吸を指導する。
                            
            
            16
        
        
                                    作業療法士実地問題 - 
                                第60回 午前
            
            
            
        70歳の男性。COVID-19による肺炎で入院し、マスクで酸素10L/分を投与している。PaO2は背臥位では60mmHgであったのに対して腹臥位では100mmHgに改善した。PaO2の改善に最も大きく影響した要因はどれか。
    
    
    
                1
            
            
                                    肺拡散能
                            
            
                2
            
            
                                    換気血流比
                            
            
                3
            
            
                                    解剖学的死腔
                            
            
                4
            
            
                                    肺動静脈奇形
                            
            
                5
            
            
                                    吸入気酸素濃度
                            
            
            18
        
        
                                    作業療法士実地問題 - 
                                第60回 午前
            
            
            
        55歳の男性。1か月前に急性心筋梗塞で入院し、経皮的冠動脈形成術を受けた。退院後に在宅において実施する全身持久力運動で正しいのはどれか。
    
    
    
                1
            
            
                                    運動頻度は週2回以内とする。
                            
            
                2
            
            
                                    1回10分以下の運動を勧める。
                            
            
                3
            
            
                                    Borg指数11~13の運動を勧める。
                            
            
                4
            
            
                                    拡張期血圧120mmHgでは運動が可能である。
                            
            
                5
            
            
                                    運動強度は最高酸素摂取量の10~20%で実施する。
                            
            
            28
        
        
                                    作業療法士専門問題 - 
                                第60回 午前
            
            
            
                                                        
                        重要度:低
                    
                                                                                            
        
        基礎代謝量で正しいのはどれか。
    
    
    
                1
            
            
                                    体温上昇に伴い低くなる。
                            
            
                2
            
            
                                    慢性炎症性疾患では高くなる。
                            
            
                3
            
            
                                    除脂肪体重が少ないと高くなる。
                            
            
                4
            
            
                                    思春期以降は加齢とともに高くなる。
                            
            
                5
            
            
                                    同一年齢では男性のほうが女性より低い。
                            
            
            36
        
        
                                    作業療法士専門問題 - 
                                第60回 午前
            
            
            
                                                        
                        重要度:標準
                    
                                                                                            
        
        口すぼめ呼吸の指導で正しいのはどれか。
    
    
    
                1
            
            
                                    吸気を延長させる。
                            
            
                2
            
            
                                    呼吸数を増加させる。
                            
            
                3
            
            
                                    COPD患者に適用する。
                            
            
                4
            
            
                                    機能的残気量を増加させる。
                            
            
                5
            
            
                                    頰を膨らませるように指導する
                            
            
                広告
            
            
            
            
                 
            
        
            39
        
        
                                    作業療法士専門問題 - 
                                第60回 午前
            
            
            
                                                        
                        重要度:標準
                    
                                                                                            
        
        血液検査項目と疾患の組合せで正しいのはどれか。
    
    
    
                1
            
            
                                    CK-MB 末梢動脈疾患[PAD〈peripheral artery disease〉]
                            
            
                2
            
            
                                    Dダイマー 深部静脈血栓症〈DVT〉
                            
            
                3
            
            
                                    eGFR 慢性閉塞性肺疾患〈COPD〉
                            
            
                4
            
            
                                    NT-proBNP 間質性肺疾患〈ILD〉
                            
            
                5
            
            
                                    SP-D 慢性心不全〈CHF〉
                            
            
            4
        
        
                                    作業療法士実地問題 - 
                                第60回 午後
            
            
            
        70歳の女性。急性心筋梗塞で入院した。身長160cm。体重70kg。安静時心拍数70/分。安静時血圧130/70 mmHg。心臓超音波検査にて低左心機能(LVEF<40%)が指摘されている。Karvonen法(k=0.5)を用いて計算した全身持久力運動の目標心拍数で正しいのはどれか。
    
    
    
                1
            
            
                                    90/分
                            
            
                2
            
            
                                    100/分
                            
            
                3
            
            
                                    110/分
                            
            
                4
            
            
                                    120/分
                            
            
                5
            
            
                                    130/分
                            
            
            10
        
        
                                    作業療法士実地問題 - 
                                第60回 午後
            
            
            
        70歳の男性。食道癌術後に集中治療室に入室中。積極的に離床を行ってもよいのはどの場合か。
    
    
    
                1
            
            
                                    RASS-3である。
                            
            
                2
            
            
                                    疼痛がNRS8である。
                            
            
                3
            
            
                                    心拍数120/分である。
                            
            
                4
            
            
                                    平均動脈圧80 mmHgである。
                            
            
                5
            
            
                                    SOFA〈Sequential Organ Failure Assessment〉scoreが前日よりも4点増加している。
                            
            
            20
        
        
                                    作業療法士実地問題 - 
                                第60回 午後
            
            
            
        75歳の男性。体重75kg。慢性心不全。運動療法中の心電図を別に示す。Aは運動開始前、Bは自転車エルゴメーター30W負荷の運動療法中である。正しいのはどれか。
    
    
             
                    
                1
            
            
                                    Aでは陰性T波を認める。
                            
            
                2
            
            
                                    Aの心拍数は60/分未満である。
                            
            
                3
            
            
                                    AはLown分類Ⅲである。
                            
            
                4
            
            
                                    BではSTの低下を認める。
                            
            
                5
            
            
                                    Bの心拍数は120/分以上である。
                            
            
            26
        
        
                                    作業療法士専門問題 - 
                                第60回 午後
            
            
            
                                                        
                        重要度:標準
                    
                                                                                            
        
        褥瘡の危険因子でないのはどれか。
    
    
    
                1
            
            
                                    低栄養
                            
            
                2
            
            
                                    血圧の上昇
                            
            
                3
            
            
                                    体動の減少
                            
            
                4
            
            
                                    局所的な圧迫
                            
            
                5
            
            
                                    骨の突出部位
                            
            
                広告
            
            
            
            
                 
            
        
            35
        
        
                                    作業療法士専門問題 - 
                                第60回 午後
            
            
            
                                                        
                        重要度:標準
                    
                                                                                            
        
        末梢動脈疾患で正しいのはどれか。
    
    
    
                1
            
            
                                    女性に多い。
                            
            
                2
            
            
                                    足関節上腕血圧比が高い。
                            
            
                3
            
            
                                    間欠性跛行を呈することはない。
                            
            
                4
            
            
                                    閉塞性動脈硬化症の頻度が低い。
                            
            
                5
            
            
                                    下肢切断が必要になることがある。
                            
            
            36
        
        
                                    作業療法士専門問題 - 
                                第60回 午後
            
            
            
                                                        
                        重要度:標準
                    
                                                                                            
        
        糖尿病患者に対する運動療法で正しいのはどれか。
    
    
    
                1
            
            
                                    インスリン抵抗性を改善する。
                            
            
                2
            
            
                                    血糖値に関わらず推奨される。
                            
            
                3
            
            
                                    尿中への糖の排泄を目的とする。
                            
            
                4
            
            
                                    Borg指数で17程度が適している。
                            
            
                5
            
            
                                    シックデイに関わらず推奨される。
                            
            
            37
        
        
                                    作業療法士専門問題 - 
                                第60回 午後
            
            
            
                                                        
                        重要度:低
                    
                                                                                            
        
        急性心筋梗塞の胸痛の特徴で正しいのはどれか。
    
    
    
                1
            
            
                                    数分以内に消失する。
                            
            
                2
            
            
                                    冷汗を伴うことが多い。
                            
            
                3
            
            
                                    感冒様の前駆症状がある。
                            
            
                4
            
            
                                    放散痛は生じないことが多い。
                            
            
                5
            
            
                                    硝酸薬の投与で速やかに消失する。
                            
            
            39
        
        
                                    作業療法士専門問題 - 
                                第60回 午後
            
            
            
                                                        
                        重要度:標準
                    
                                                                                            
        
        ステロイドの副作用で正しいのはどれか。
    
    
    
                1
            
            
                                    筋固縮
                            
            
                2
            
            
                                    低血圧
                            
            
                3
            
            
                                    低血糖
                            
            
                4
            
            
                                    大腿骨頭壊死
                            
            
                5
            
            
                                    高カリウム血症
                            
            
            5
        
        
                                    作業療法士実地問題 - 
                                第59回 午前
            
            
            
        73歳の男性。身長170cm、体重55kg。糖尿病でインスリン治療導入中。運動強度の決定のため自転車エルゴメーターを用いて、1分間に20Watts増加させるランプ負荷法で心肺運動負荷試験を行った。二酸化炭素排出量および酸素摂取量の変化のグラフを別に示す。指導すべき適切な運動強度はどれか。ただし、1METの酸素摂取量は3.5mL/min/kgとする。
    
    
             
                    
                1
            
            
                                    約3METs
                            
            
                2
            
            
                                    約4METs
                            
            
                3
            
            
                                    約5METs
                            
            
                4
            
            
                                    約6METs
                            
            
                5
            
            
                                    約7METs
                            
            
                広告
            
            
            
            
                 
            
        
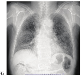
            19
        
        
                                    作業療法士実地問題 - 
                                第59回 午前
            
            
            
        73歳の女性。胸部単純エックス線写真を別に示す。考えられる疾患または状態はどれか。
    
    
             
                    
                1
            
            
                                    気胸
                            
            
                2
            
            
                                    間質性肺疾患
                            
            
                3
            
            
                                    気管切開術後
                            
            
                4
            
            
                                    肺葉切除術後
                            
            
                5
            
            
                                    慢性閉塞性肺疾患
                            
            
            40
        
        
                                    作業療法士専門問題 - 
                                第59回 午前
            
            
            
                                                        
                        重要度:低
                    
                                                                                            
        
        成人の心肺停止に対する1分間あたりの胸骨圧迫の回数で適切なのはどれか。
    
    
    
                1
            
            
                                    20回
                            
            
                2
            
            
                                    50回
                            
            
                3
            
            
                                    70回
                            
            
                4
            
            
                                    100回
                            
            
                5
            
            
                                    130回
                            
            
            49
        
        
                                    作業療法士専門問題 - 
                                第59回 午前
            
            
            
                                                        
                        重要度:標準
                    
                                                                                            
        
        間質性肺疾患患者に対する理学療法で最も適切なのはどれか。
    
    
    
                1
            
            
                                    体位排痰法を指導する。
                            
            
                2
            
            
                                    吸気筋トレーニングを指導する。
                            
            
                3
            
            
                                    上肢の筋力増強運動は行わない。
                            
            
                4
            
            
                                    神経筋電気刺激療法は行わない。
                            
            
                5
            
            
                                    有酸素運動はSpO2 60%を目標に実施する。
                            
            
            50
        
        
                                    作業療法士専門問題 - 
                                第59回 午前
            
            
            
                                                        
                        重要度:標準
                    
                                                                                            
        
        非ステロイド性抗炎症薬〈NSAIDs〉の副作用で正しいのはどれか。
    
    
    
                1
            
            
                                    胃潰瘍
                            
            
                2
            
            
                                    骨粗鬆症
                            
            
                3
            
            
                                    多幸感
                            
            
                4
            
            
                                    中心性肥満
                            
            
                5
            
            
                                    低血糖
                            
            
            16
        
        
                                    作業療法士実地問題 - 
                                第59回 午後
            
            
            
        心電図を別に示す。考えられるのはどれか。
    
    
             
                    
                1
            
            
                                    心房細動
                            
            
                2
            
            
                                    心房粗動
                            
            
                3
            
            
                                    房室ブロック
                            
            
                4
            
            
                                    心室細動
                            
            
                5
            
            
                                    心室期外収縮
                            
            
                広告