理学療法士問題表示
理学療法士国家試験
大分類
理学療法評価学
20問表示中
広告
27
理学療法士専門問題 -
第52回 午後
重要度:最重要
関節可動域測定法(日本整形外科学会、日本リハビリテーション医学会基準による)において、基本軸または移動軸が橈骨であるのはどれか。2つ選べ。
1
肩外旋
2
肩屈曲
3
肘伸展
4
手背屈
5
前腕回内
28
理学療法士専門問題 -
第52回 午後
重要度:最重要
Danielsらの徒手筋力テストで、検査する筋の段階と測定肢位の組合せで正しいのはどれか。2つ選べ。
1
腸腰筋の段階3―――――側臥位
2
中殿筋の段階1―――――腹臥位
3
大腿四頭筋の段階3―――座位
4
前脛骨筋の段階4――――立位
5
下腿三頭筋の段階2―――背臥位
50
理学療法士専門問題 -
第52回 午後
重要度:低
栄養状態の評価として有用性が低いのはどれか。
1
血小板数
2
下腿周囲径
3
体重減少率
4
Body Mass Index
5
血清アルブミン値
1
理学療法士実地問題 -
第51回 午前
重要度:最重要
関節可動域測定法(日本整形外科学会、日本リハビリテーション医学会基準による)で正しい方法はどれか。

1
肩甲帯屈曲
2
肩屈曲
3
肩外旋
4
肘屈曲
5
前腕回外
2
理学療法士実地問題 -
第51回 午前
重要度:最重要
Danielsらの徒手筋力テストを図に示す。段階5の抵抗を加える位置が正しいのはどれか。3つ選べ。

1
肩甲骨下制と内転
2
肩関節外旋
3
肘関節伸展
4
手関節背屈
5
母指MP関節屈曲
広告
3
理学療法士実地問題 -
第51回 午前
重要度:最重要
Danielsらの徒手筋力テスト(足関節底屈の検査)を図に示す。正しいのはどれか。

1
図1で完全な底屈運動ができるが抵抗に耐えられなければ段階1である。
2
図1で底屈運動に多少制限があっても抵抗に負けずに保てれば段階2である。
3
図2で疲れなしに完全な底屈運動が1回行えれば段階3である。
4
図2で完全な底屈運動が20回行えれば段階5である。
5
図3は腓腹筋単独のテスト肢位である。
4
理学療法士実地問題 -
第51回 午前
重要度:標準
右股関節の可動域を表に示す。予想される歩行時の特徴はどれか。

1
左Trendelenburg徴候
2
上肢の振り幅の増加
3
左の歩幅の減少
4
腰椎後弯
5
右鶏歩
5
理学療法士実地問題 -
第51回 午前
重要度:標準
反射検査の刺激部位で正しいのはどれか。

1
掌オトガイ反射
2
把握反射
3
Babinski反射
4
Chaddock反射
5
Oppenheim反射
7
理学療法士実地問題 -
第51回 午前
重要度:重要
脳卒中右片麻痺の麻痺側運動機能についてBrunnstrom法ステージの検査を行ったところ、図に示す段階までの運動が可能であった。評価の組合せで正しいのはどれか。

1
上肢Ⅳ-手指Ⅳ-下肢Ⅳ
2
上肢Ⅳ-手指Ⅴ-下肢Ⅳ
3
上肢Ⅳ-手指Ⅳ-下肢Ⅴ
4
上肢Ⅴ-手指Ⅴ-下肢Ⅳ
5
上肢Ⅴ-手指Ⅴ-下肢Ⅴ
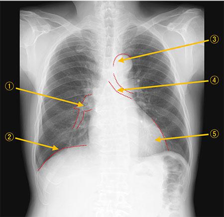
8
理学療法士実地問題 -
第51回 午前
重要度:標準
正常な胸部エックス線写真を示す。番号と解剖学的名称の組合せで正しいのはどれか。

1
①―肺静脈
2
②―肋骨
3
③―下行大動脈
4
④―気管支
5
⑤―左房縁
広告
21
理学療法士専門問題 -
第51回 午前
重要度:重要
関節可動域測定時の足部の内転の基本軸はどれか。
1
第1中足骨の中央線
2
第1中足骨と第2中足骨との間の中央線
3
第2中足骨の中央線
4
第2中足骨と第3中足骨との間の中央線
5
第3中足骨の中央線
22
理学療法士専門問題 -
第51回 午前
重要度:最重要
筋とその短縮の有無を調べる検査との組合せで正しいのはどれか。
1
腸腰筋―――――――Speedテスト
2
縫工筋―――――――SLRテスト
3
大腿直筋――――――Thomasテスト
4
大腿筋膜張筋――――Oberテスト
5
ハムストリングス――Thompsonテスト
1
理学療法士実地問題 -
第51回 午後
重要度:低
下肢長の計測結果を表に示す。関連性の高いテストはどれか。

1
Patrickテスト
2
Buergerテスト
3
Gaenslenテスト
4
McMurrayテスト
5
Posterior drawerテスト
2
理学療法士実地問題 -
第51回 午後
重要度:最重要
関節可動域測定法(日本整形外科学会、日本リハビリテーション医学会基準による)で正しいのはどれか。

1
股外転
2
股外旋
3
足背屈
4
足部内がえし
5
股屈曲
3
理学療法士実地問題 -
第51回 午後
重要度:重要
Danielsらの徒手筋力テストで各筋の筋力2のテストとして正しいのはどれか。2つ選べ。

1
前鋸筋
2
菱形筋群
3
僧帽筋下部線維
4
僧帽筋上部線維
5
僧帽筋中部線維
広告
4
理学療法士実地問題 -
第51回 午後
重要度:標準
Danielsらの徒手筋力テストで股関節内転筋の段階3を測定する際、図のような代償動作がみられた。代償動作を生じさせている筋はどれか。

1
腸骨筋
2
梨状筋
3
中殿筋
4
大腿二頭筋
5
内側広筋
6
理学療法士実地問題 -
第51回 午後
重要度:重要
40歳の男性。2週間前から腰痛と右殿部から大腿前面にかけてのしびれが生じ、徐々に右下肢の筋力低下を自覚するようになってきた。この患者に行う検査として適切なのはどれか。

1
1
2
2
3
3
4
4
5
5
8
理学療法士実地問題 -
第51回 午後
重要度:重要
つまずきやすさを主訴に来院した70歳の患者の頭部MRIのT1強調矢状断像を示す。この患者で主訴に関連のある症状はどれか。

1
運動失調
2
感覚障害
3
視野障害
4
前庭障害
5
歩行失行
9
理学療法士実地問題 -
第51回 午後
重要度:低
患者の鼻(A)から目標(B)に向かって患者の示指を動かしたときの水平面上の軌跡を図に示す。この患者にみられる可能性が高いのはどれか。

1
折りたたみナイフ現象
2
Romberg徴候陽性
3
はさみ脚歩行
4
断綴性発語
5
筋強剛
21
理学療法士専門問題 -
第51回 午後
重要度:最重要
前腕回外の関節可動域測定法(日本整形外科学会、日本リハビリテーション医学会基準による)について、正しいのはどれか。
1
基本肢位は手掌面が水平面にある肢位とする。
2
参考可動域は手関節屈曲角度と同じである。
3
最終域で肩関節内旋運動が出現する。
4
最終域感は骨性である。
5
基本軸は尺骨とする。
広告