理学療法士問題表示
理学療法士国家試験
大分類
理学療法評価学
20問表示中
広告
29
理学療法士専門問題 -
第53回 午前
重要度:標準
記憶障害の評価法はどれか。
1
BADS<Behavioural Assessment of the Dysexecutive Syndrome>
2
BIT<Behavioral Inattention Test>
3
CAT<Clinical Assessment for Attention>
4
RBMT<Rivermead Behavioural Memory Test>
5
WCST<Wisconsin Card Sorting Test>
3
理学療法士実地問題 -
第53回 午後
重要度:最重要
関節可動域測定法(日本整形外科学会、日本リハビリテーション医学会基準による)で正しいのはどれか。2つ選べ。

1
頸部回旋
2
頸部側屈
3
胸腰部回旋
4
胸腰部側屈
5
胸腰部屈曲
9
理学療法士実地問題 -
第53回 午後
重要度:重要
脳卒中機能評価法〈SIAS〉の麻痺側運動機能の評定で2点となるのはどれか。

1
1
2
2
3
3
4
4
5
5
12
理学療法士実地問題 -
第53回 午後
重要度:標準
50歳の男性。1か月前から腰痛と右殿部痛が生じ、徐々に右下肢の疼痛が増悪してきた。腰部MRIを示す。この病態で陽性になるのはどれか。

1
Apley test
2
Lasègue test
3
Lachman test
4
Thompson test
5
McMurray test
25
理学療法士専門問題 -
第53回 午後
重要度:最重要
関節可動域測定法(日本整形外科学会、日本リハビリテーション医学会基準による)の運動方向と測定肢位の組合せで正しいのはどれか。
1
肩屈曲 ――― 前腕回外位
2
股内旋 ――― 膝関節伸展位
3
股外転 ――― 股関節伸展位
4
膝屈曲 ――― 股関節伸展位
5
足底屈 ――― 膝関節伸展位
広告
26
理学療法士専門問題 -
第53回 午後
重要度:最重要
異常歩行と原因の組合せで正しいのはどれか。
1
鶏 歩――――――脛骨神経麻痺
2
踵足歩行―――――脳卒中
3
動揺歩行―――――小脳性運動失調症
4
大殿筋歩行――――筋ジストロフィー
5
はさみ脚歩行―――正常圧水頭症
33
理学療法士専門問題 -
第53回 午後
重要度:標準
肘関節屈曲位から伸展方向へ他動的に動かしたときに、可動域の全範囲にわたり抵抗感が感じられたが、運動は容易であった。MAS〈modified Ashworth scale〉における筋緊張のレベルはどれか。
1
0
2
1
3
1+
4
2
5
3
1
理学療法士実地問題 -
第52回 午前
重要度:低
スパイログラムを図に示す。予備呼気量はどれか。

1
①
2
②
3
③
4
④
5
⑤
2
理学療法士実地問題 -
第52回 午前
重要度:重要
Danielsらの徒手筋力テストについて正しいのはどれか。
1
検査は段階5から実施する。
2
徒手抵抗は検査する関節の近位部に加える。
3
繰り返し実施することで筋持久力を評価する。
4
段階2は重力の影響を最小限にした肢位で実施する。
5
抑止(ブレーク)テストでは徐々に徒手抵抗を強くする。
3
理学療法士実地問題 -
第52回 午前
重要度:低
動脈血ガス分析の結果を表に示す。正しいのはどれか。

1
呼吸性アシドーシス
2
代謝性アルカローシス
3
共用基準範囲
4
代謝性アシドーシス
5
呼吸性アルカローシス
広告
4
理学療法士実地問題 -
第52回 午前
重要度:最重要
関節可動域測定法(日本整形外科学会、日本リハビリテーション医学会基準による)で正しいのはどれか。2つ選べ。

1
1
2
2
3
3
4
4
5
5
5
理学療法士実地問題 -
第52回 午前
重要度:重要
Danielsらの徒手筋力テストの結果を表に示す。表以外の筋に異常はみられない。関節可動域はすべて正常範囲である。通常速度で直線歩行したときに予想されるのはどれか。

1
左の踵足歩行
2
右の尖足歩行
3
左遊脚中期の分回し
4
右のTrendelenburg徴候
5
右遊脚後期の膝過伸展傾向
12
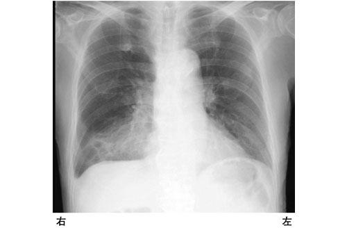
理学療法士実地問題 -
第52回 午前
重要度:低
嚥下障害がある患者の胸部エックス線写真を示す。予想される理学所見はどれか。

1
胸痛
2
乾性咳嗽
3
頸静脈怒張
4
右胸部打診で鼓音
5
右胸部聴診で水疱音
29
理学療法士専門問題 -
第52回 午前
重要度:標準
注意機能の評価はどれか。
1
SCT
2
MMPI
3
バウムテスト
4
TMT〈trail making test〉
5
Kohs立方体組合せテスト
1
理学療法士実地問題 -
第52回 午後
重要度:標準
健常成人の平地歩行時の下肢筋活動を図に示す。下腿三頭筋の筋活動に相当するのはどれか。

1
①
2
②
3
③
4
④
5
⑤
広告
2
理学療法士実地問題 -
第52回 午後
重要度:標準
図1の検査で異常がみられた場合、図2の脊髄横断面の模式図において損傷が考えられる部位はどれか。

1
①
2
②
3
③
4
④
5
⑤
3
理学療法士実地問題 -
第52回 午後
重要度:標準
患者の股関節部エックス線写真を示す。大腿骨および下腿骨に骨折はなく、膝関節の変形や可動域制限はない。右大腿長44.0 cm、両側の下腿長35.5 cm、右下肢の棘果長83.0 cmであった。左下肢の肢長検査で正しいのはどれか。

1
棘果長 81.0 cm ――― 転子果長 79.5 cm
2
棘果長 81.0 cm ――― 転子果長 78.5 cm
3
棘果長 81.0 cm ――― 転子果長 77.5 cm
4
棘果長 83.0 cm ――― 転子果長 79.5 cm
5
棘果長 83.0 cm ――― 転子果長 77.5 cm
4
理学療法士実地問題 -
第52回 午後
重要度:標準
右股関節の可動域を表に示す。快適速度で直線路を歩行した場合に予想される特徴はどれか。

1
歩隔の増加
2
右の歩幅の減少
3
左の遊脚時間の延長
4
右立脚時の体幹の左側屈
5
左立脚時の左股関節外転角度の増加
5
理学療法士実地問題 -
第52回 午後
重要度:標準
Danielsらの徒手筋力テストで肩関節屈曲(前方挙上)の段階3の測定をする際、図のような代償がみられた。代償動作を生じさせている筋はどれか。

1
回外筋
2
上腕二頭筋
3
前鋸筋
4
肩甲下筋
5
広背筋
14
理学療法士実地問題 -
第52回 午後
重要度:標準
75歳の男性。冠動脈バイパス術後。病棟での運動療法中に胸部不快感を生じた。そのときのモニター心電図を示す。この患者にみられるのはどれか。

1
心房細動
2
洞性徐脈
3
WPW症候群
4
心室性期外収縮
5
Ⅱ度房室ブロック
広告