理学療法士問題表示
理学療法士国家試験
検索元問題
第34回 午前 第3問
17件の類似問題
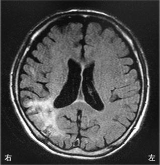
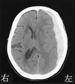
図は脳出血による左片麻痺患者の検査結果である。この結果から考えられる障害はどれか。 ...
広告
8
理学療法士実地問題 -
第46回 午前
重要度:最重要
類似度 62.6%
75歳の男性。高血圧と糖尿病の治療を長期にわたり行っている。徐々に歩行障害がみられるようになり、転倒することが多くなった。頭部MRIを示す。この患者で認められないと考えられるのはどれか。

1
嚥下障害
2
感情失禁
3
小刻み歩行
4
認知機能低下
5
左側弛緩性麻痺
6
理学療法士実地問題 -
第50回 午前
重要度:最重要
類似度 62.5%
65歳の男性。右利き。脳梗塞による片麻痺。Brunnstrom法ステージは上肢、手指、下肢ともにⅢ。回復期リハビリテーション病棟では車椅子で移動している。発症後3か月の頭部MRIを示す。この患者が基本動作練習を開始した際に観察されるのはどれか。

1
左側からの方が起き上がりやすい。
2
座位練習で右手を支持に使うことができない。
3
立位保持では両下肢に均等に荷重ができる。
4
車椅子駆動の際に廊下の左壁によくぶつかる。
5
練習を繰り返しても装具装着の手順を間違える。
14
理学療法士実地問題 -
第57回 午後
重要度:最重要
類似度 62.4%
60歳の男性。7年前から歩行時にふらつきを自覚し、6年前から話し方が単調で途切れ途切れとなり膀胱直腸障害と起立性低血圧を認めた。四肢の固縮や振戦が徐々に進行し、2年前から車椅子で移動するようになった。最近、声が小さくなり呼吸困難感を訴えるようになった。頭部MRIのFLAIR画像で水平断(A)および矢状断(B)を示す。この疾患で合併する可能性が高いのはどれか。

1
失 語
2
拮抗失行
3
声帯麻痺
4
下方注視麻痺
5
他人の手徴候
5
理学療法士実地問題 -
第49回 午後
重要度:最重要
類似度 62.3%
58歳の男性。生来健康であったが、突然のめまいと歩行困難で救急搬送された。脳梗塞の診断で理学療法が開始された。理学療法の初期評価では、めまい、眼振とともに、右側には小脳性の運動失調、Horner症候群および顔面の温痛覚障害がみられた。左側には上下肢の温痛覚障害がみられたが深部感覚は保たれていた。病巣はどれか。

1
1
2
2
3
3
4
4
5
5
6
理学療法士実地問題 -
第54回 午前
重要度:最重要
類似度 62.1%
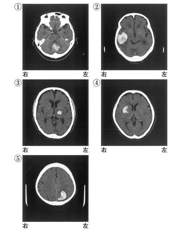
56歳の男性。発症時に明らかな運動麻痺はないが、歩くとすぐによろけて物につかまっていないと立っていられなくなり、頭部CT検査で脳出血と診断された。頭部CT画像を示す。この患者の頭部CT画像として最も可能性が高いのはどれか。

1
①
2
②
3
③
4
④
5
⑤
広告
20
理学療法士実地問題 -
第54回 午後
重要度:最重要
類似度 62.1%
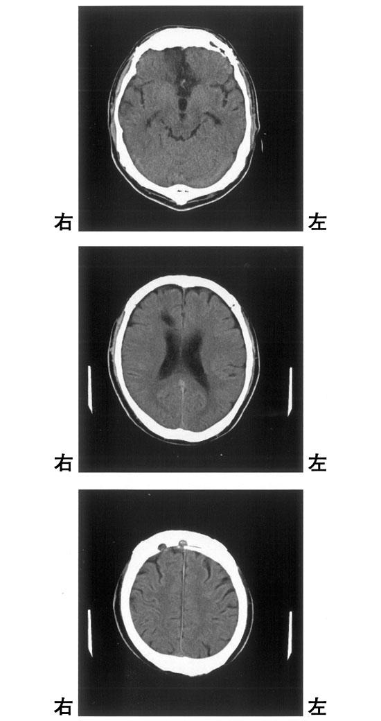
65歳の男性。右利き。突然の意識障害で搬送された。くも膜下出血の診断で、破裂脳動脈瘤のクリッピング手術を施行された。発症後3か月の頭部CTを示す。この患者に出現しやすい症状はどれか。

1
上着の左右を間違えて袖を通す。
2
ジェスチャーの模倣ができない。
3
移動する時に左側の人や物にぶつかりやすい。
4
知っている人なのに声を聞かないとわからない。
5
担当理学療法士に毎日初対面のように挨拶する。
7
理学療法士実地問題 -
第59回 午後
重要度:重要
類似度 61.7%
68歳の女性。くも膜下出血後の四肢麻痺のため作業療法を行っている。現在、四肢の麻痺は、ほぼ認めない。高次脳機能障害が残存しMMSEを実施した。結果 を別に示す。次に行う検査で最も優先されるのはどれか。


1
AMPS
2
BADS
3
BIT
4
RBMT
5
VPTA
76
理学療法士・作業療法士共通問題 -
第52回 午後
重要度:最重要
類似度 61.7%
突然の右不全片麻痺を呈して搬送された患者の発症後6時間の頭部CTを示す。最も考えられるのはどれか。

1
視床出血
2
被殻出血
3
皮質下梗塞
4
くも膜下出血
5
慢性硬膜下血腫
55
理学療法士専門問題 -
第37回 午前
重要度:重要
類似度 61.3%
劣位半球の中大脳動脈閉塞で生じやすいのはどれか。
1
尿失禁
2
強制把握
3
視覚失認
4
半側空間無視
5
ウェルニッケ失語
12
理学療法士実地問題 -
第42回 午前
重要度:最重要
類似度 61.2%
65歳の男性。意識が消失し緊急入院となった。発症後2日目においても意識障害は重度である。MRI拡散強調画像(別冊No.2A、B)を別に示す。この時点で行う管理で誤っているのはどれか。

1
座位耐久性訓練
2
肩関節の可動域訓練
3
2時間毎の体位変換
4
下腿三頭筋のストレッチ
5
下腿に弾性ストッキング装着
広告
41
理学療法士専門問題 -
第54回 午後
重要度:重要
類似度 61.1%
高次脳機能障害と検査の組合せで正しいのはどれか。
1
失語 ― かな拾いテスト
2
注意障害 ― TMT
3
記憶障害 ― Kohs立方体組み合わせ検査
4
遂行機能障害 ― BIT
5
半側空間無視 ― BADS
15
理学療法士実地問題 -
第43回 午前
重要度:重要
類似度 61.0%
CT(①~⑤)を別に示す。片麻痺を呈する可能性が高いのはどれか。2つ選べ。

1
①
2
②
3
③
4
④
5
⑤
34
理学療法士専門問題 -
第56回 午前
重要度:重要
類似度 60.9%
病巣と症状の組合せで正しいのはどれか。
1
延髄背外側 ── 片麻痺
2
内包前脚 ── 感覚障害
3
前頭葉 ── 半側空間無視
4
歯状核 ── 協調運動障害
5
視 床 ── 嚥下障害
21
理学療法士専門問題 -
第44回 午前
重要度:標準
類似度 60.5%
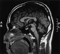
55歳の男性。3年前からろれつが回らず歩行が不安定で介助が必要であり、起き上がるとめまいが起こる。上肢の測定障害のためADLが制限されている。頭部MRIを示す。萎縮が認められる部位はどれか。2つ選べ。

1
脳 梁
2
小 脳
3
後頭葉
4
帯状回
5
脳幹部
12
理学療法士実地問題 -
第48回 午後
重要度:最重要
類似度 60.5%
66歳の女性。右利き。階段から転落。転落直後は意識消失していたが、数分後に意識回復。しばらくの間、意識は清明であったが、1時間後に手足の麻痺が出現し、再び意識が低下して昏睡になった。救急搬送時の頭部CTを示す。最も考えられるのはどれか。

1
髄膜腫
2
皮質下出血
3
くも膜下出血
4
脳動静脈奇形
5
急性硬膜下血腫
広告
24
理学療法士専門問題 -
第60回 午後
重要度:重要
類似度 60.2%
高次脳機能障害の評価方法 を別に示す。この評価方法はどれか。

1
BADS
2
BIT
3
FAB
4
RBMT
5
SLTA
84
理学療法士・作業療法士共通問題 -
第50回 午後
重要度:重要
類似度 60.0%
出血部位と出現しやすい症候の組合せで正しいのはどれか。
1
被殻 - 作話
2
皮質下 - 複視
3
視床 - 注意障害
4
小脳 - 反響言語
5
橋 - 半側空間無視
広告