理学療法士問題表示
理学療法士国家試験
検索元問題
第34回 午前 第3問
20件の類似問題
図は脳出血による左片麻痺患者の検査結果である。この結果から考えられる障害はどれか。 ...
広告
26
理学療法士専門問題 -
第46回 午後
重要度:最重要
類似度 65.1%
脳卒中患者の症状と障害との組合せで誤っているのはどれか。
1
知っている人なのに声を聞かないとわからない。 — 相貌失認
2
閉眼と挺舌の動作を同時にできない。 — 運動維持困難
3
移動時、左側の物によくぶつかる。 — 左半側空間無視
4
指示による敬礼のまねができない。 — 観念失行
5
上着の左右を間違えて袖を通す。 — 着衣失行
7
理学療法士実地問題 -
第39回 午前
重要度:最重要
類似度 65.0%
70歳の男性。脳硬塞片麻痺、発症後2か月。図の上の絵を患者の正面に置き、模写を指示したところ、下の図のように描いた。この障害への対応として適切でないのはどれか。

1
食事場面で患側にある食物を意識させる。
2
体幹は健側方向への回旋を意識させる。
3
理学療法士は患側に立って治療を行う。
4
車椅子での集団風船バレーに参加させる。
5
車椅子の患側のブレーキレバーに目印をつける。
53
理学療法士専門問題 -
第38回 午前
重要度:最重要
類似度 65.0%
脳卒中患者の障害と徴候との組合せで誤っているのはどれか。
1
シャツの袖をうまく通せない-着衣失行
2
知っている人なのに声を聞かないとわからない-相貌失認
3
指示による閉眼維持が困難である-運動維持困難
4
移動時に左にある物にぶつかる-左半側無視
5
麻痺がないのに指で模倣ができない-観念失行
94
理学療法士・作業療法士共通問題 -
第51回 午前
重要度:最重要
類似度 64.3%
突然の左不全片麻痺を呈して搬送された患者の発症後3時間の頭部MRIの拡散強調像を示す。最も考えられるのはどれか。

1
脳出血
2
脳梗塞
3
脳腫瘍
4
脳動静脈瘻
5
くも膜下出血
19
理学療法士実地問題 -
第57回 午後
重要度:最重要
類似度 64.3%
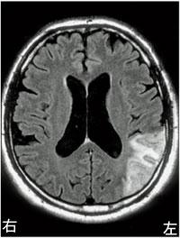
72歳の男性。脳梗塞による左片麻痺。座位姿勢と机上での検査結果を図に示す。理学療法として誤っているのはどれか。

1
視覚探索課題を行う。
2
後頸部に振動刺激を行う。
3
車椅子の右側のブレーキレバーを延長する。
4
対象物が右へ偏倚するプリズム眼鏡をかけて練習する。
5
車椅子駆動時に進行方向の左側に注意するよう指導する。
広告
8
理学療法士実地問題 -
第47回 午前
重要度:最重要
類似度 64.2%
60歳の男性。右利き。脳梗塞を発症し、回復期リハビリテーション病棟に入院中である。食事時に右手でスプーンの柄を握りこんでしまい、うまくスプーン操作ができず、介助が必要になることが多いが、少しずつ食事動作が円滑にできる場面が増えてきている。頭部MRIを示す。この食事動作の病態として考えられるのはどれか。

1
観念失行
2
視覚性失認
3
運動維持困難
4
右上肢運動麻痺
5
右上肢深部覚障害
11
理学療法士実地問題 -
第37回 午前
重要度:重要
類似度 64.2%
54歳の右利きの男性。脳梗塞。図のような頭部画像病変であった。みられやすい症状はどれか。

1
他人の手徴候
2
観念失行
3
ブローカ失語
4
ゲルストマン症候群
5
ウェルニッケ失語
6
理学療法士実地問題 -
第57回 午前
重要度:最重要
類似度 64.0%
78歳の男性。脳梗塞。左顔面神経麻痺および右片麻痺を呈する。頭部MRIの拡散強調像を示す。梗塞巣として考えられるのはどれか。

1
①
2
②
3
③
4
④
5
⑤
31
理学療法士専門問題 -
第48回 午後
重要度:重要
類似度 63.9%
脳卒中患者で大脳皮質の病変と比べて視床の病変でみられやすい症状はどれか。
1
視野狭窄
2
病態失認
3
運動失調
4
弛緩性片麻痺
5
空間認知の低下
10
理学療法士実地問題 -
第58回 午後
重要度:重要
類似度 63.9%
42 歳の男性。右利き。自営業。 3 年前に脳出血発症後、回復期リハビリテーション病院を経て自宅退院し復職したが、仕事中に再発した。初発時の頭部 CT と再発時の頭部 CT を別に示す。再発時の新たな症状として最も考えられるのはどれか。

1
昏睡
2
構音障害
3
右同名半盲
4
回転性めまい
5
Gerstmann 症候群
広告
8
理学療法士実地問題 -
第51回 午後
重要度:重要
類似度 63.9%
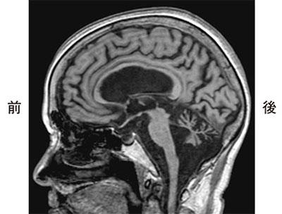
つまずきやすさを主訴に来院した70歳の患者の頭部MRIのT1強調矢状断像を示す。この患者で主訴に関連のある症状はどれか。

1
運動失調
2
感覚障害
3
視野障害
4
前庭障害
5
歩行失行
87
理学療法士・作業療法士共通問題 -
第43回 午後
重要度:最重要
類似度 63.6%
右半球の損傷で生じやすいのはどれか。2つ選べ。
1
失読
2
失算
3
着衣失行
4
手指失認
5
半側空間無視
82
理学療法士・作業療法士共通問題 -
第58回 午後
重要度:重要
類似度 63.4%
脳卒中患者の歩行自立と関連が最も少ないのはどれか。
1
半側空間無視
2
両側性片麻痺
3
深部覚障害
4
注意障害
5
失語症
9
理学療法士実地問題 -
第48回 午前
重要度:最重要
類似度 63.3%
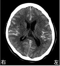
65歳の男性。右利き。突然の意識消失のため救急搬入された。診察時のJCSⅢ-200、血圧210/120 mmHg、脈拍90/分であった。搬送時の頭部CTを示す。意識を回復した際に認められるのはどれか。2つ選べ。

1
左半側空間無視
2
右上肢麻痺
3
左下肢失調
4
相貌失認
5
失語症
3
理学療法士実地問題 -
第49回 午前
重要度:最重要
類似度 63.1%
70歳の女性。右利き。脳梗塞を発症し搬送された。発症後2か月の頭部MRI示す。この画像で認められる脳梗塞の部位はどれか。

1
視床
2
内包
3
被殻
4
尾状核
5
放線冠
広告
41
理学療法士専門問題 -
第47回 午後
重要度:重要
類似度 62.9%
左中大脳動脈閉塞で生じやすい高次脳機能障害はどれか。
1
自然にバイバイと手を振ることはできるが、指示されるとできない。
2
着る手順を説明できるが、誤った着方をする。
3
重度の運動麻痺があるのに、歩けると主張する、
4
視界の左半分にある物を見落とす。
5
色紙の色分けができない。
25
理学療法士専門問題 -
第49回 午前
重要度:重要
類似度 62.9%
脳卒中患者で内頸動脈系と比べて椎骨脳底動脈系の病変でみられやすいのはどれか。
1
失語症
2
認知症
3
同名半盲
4
半側無視
5
運動失調
9
理学療法士実地問題 -
第47回 午前
重要度:最重要
類似度 62.8%
60歳の男性。仕事中に意識障害を発症したため、救急車で搬入された。緊急手術を行い順調に経過していたが、術後7日目に突然右片麻痺が出現した。入院時の頭部CTを示す。麻痺の原因として最も考えられるのはどれか。

1
正常圧水頭症
2
血管攣縮
3
脳内出血
4
脳挫傷
5
脳膿瘍
76
理学療法士・作業療法士共通問題 -
第59回 午後
重要度:最重要
類似度 62.6%
前頭葉の損傷による高次脳機能障害で生じるのはどれか。2つ選べ。
1
視覚失調
2
肢節運動失行
3
触覚失認
4
相貌失認
5
Broca失語
3
理学療法士実地問題 -
第59回 午後
重要度:重要
類似度 62.6%
62歳の女性。5か月前に左半身の脱力のため救急車で搬入され、右視床出血と診断された。現在、Brunnstrom法ステージは上肢Ⅳ、手指Ⅲ、下肢Ⅲであり、座位では右に重心が偏移し、頸部は右に回旋していた。図のような検査所見を呈している。作業療法プログラムで最も適切なのはどれか。

1
右側から声掛けを行う。
2
座位で左から右に輪移動を行う。
3
頸部を左回旋させて塗り絵を行う。
4
ADL訓練は視覚認知の改善を図ってから行う。
5
机上課題では左側に壁がくるように座席を配置する。
広告