理学療法士問題表示
理学療法士国家試験
















解説
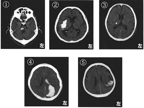
脳梗塞の発生部位によって出現する症状は異なります。この問題では、それぞれの部位における症状を正確に理解することが求められています。
選択肢別解説
Broca領域は運動性失語の症状が現れる部位であり、遂行機能障害は前頭葉で見られるため、この選択肢は誤りです。
右小脳半球では、右(同側)上下肢の運動失調が見られるため、この選択肢は誤りです。小脳半球の症状には、同側上下肢の運動失調や筋緊張の低下が含まれます。
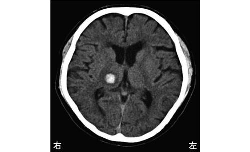
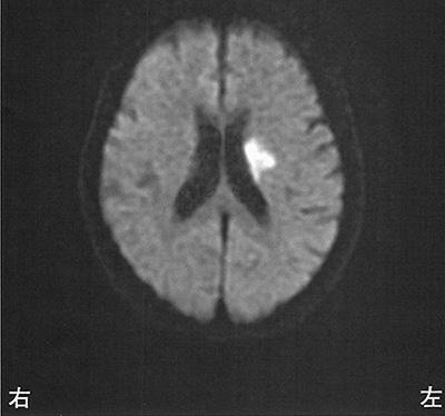
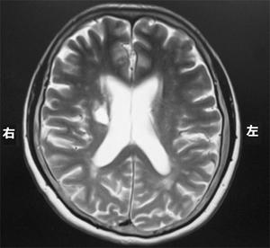
右内包後脚では、左上下肢の運動麻痺が見られるため、この選択肢は正しいです。
左前頭葉では非流暢性失語が見られるため、この選択肢は誤りです。左半側空間無視は、右頭頂葉後部で見られる症状です。
左放線冠は部位によって様々な症状が現れますが、感覚性失語はWernicke領域で見られるため、この選択肢は誤りです。
