Loading...

答えを一括表示

全ての問題カードで答えと解説を同時に展開します。

もう一度押すと全てのカードの答えをまとめて非表示に戻せます。

表示中

理学療法士問題表示

理学療法士国家試験

検索元問題
第47回 午後 第19問
5件の類似問題
背面からみた肺区域の模式図を示す。斜線で示す肺区域に痰が貯留している場合の排痰体位として正しいのはど......
広告
35
第44回 午前 理学療法士専門問題
標準
図のような側弯患者で正しいのはどれか。 
C1WYalkhqjLHokaq2BDUO
1
左肩甲骨が隆起する。
2
Cobb角は13°である。
3
装具療法の適応はない。
4
体幹の前屈運動が制限される。
5
側弯部の脊柱は椎体が左へ回旋する。
14
第50回 午前 理学療法士実地問題
標準
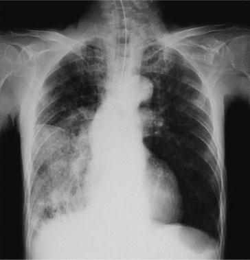
85歳の男性。脳梗塞の既往がある。2、3か月前から食事中にむせることが多くなっていた。3日前から元気がなく、昨晩から発熱と意識障害とがみられたため救急搬送され気管挿管の上、入院となった。体温38.0℃、呼吸数25/分、左胸部に肺胞呼吸音、右胸部に水泡音が聴取された。エックス線写真を示す。この患者の症状が生じている原因として最も考えられるのはどれか。 
nOLchorDCdZ-nIOOv-U4P
1
気胸
2
心不全
3
肺水腫
4
間質性肺炎
5
誤嚥性肺炎
33
第43回 午前 理学療法士専門問題
重要
呼吸機能テストの結果、図Aのようなフローボリューム曲線を得た。この患者の呼吸理学療法で誤っているのはどれか。ただし、図Bは健常者の結果を示す。 
3cqKE457jIOVnL-7edSa9
1
胸郭の可動性維持
2
口すぼめ呼吸の指導
3
横隔膜呼吸法の指導
4
強制吸気の指導
5
腹筋の筋力増強
18
第40回 午前 理学療法士実地問題
最重要
科目:
68歳の男性。脳梗塞による左片麻痺。発症後3か月時、腰掛座位において図のように右上下肢で接触面を強く押して左側に転倒する現象を認めた。座位バランス獲得のための理学療法で適切でないのはどれか。 
nf5vxMymP01KAUNQvyDgx
1
鏡で姿勢の傾きを認知させる。
2
座面を上げて両下肢を浮かせる。
3
治療者が左側から繰り返し押し返す。
4
右上肢を前方のテーブルに載せる。
5
点滴棒など垂直指標に体幹を合わせる。
7
第54回 午後 理学療法士実地問題
標準
人工呼吸器のモニターに示される気道内圧と肺気量位を図に示す。理学療法前後で図のような変化が見られた場合、呼吸器系に生じた変化として考えられるのはどれか。ただし、対象者の自発呼吸はなく、人工呼吸器による陽圧変化のみにより肺気量位が変化しているものとする。 
oxl9S8RD6ohyAcp0oOiCp
1
肺活量の増加
2
残気量の減少
3
気道抵抗の増加
4
胸郭柔軟性の低下
5
肺コンプライアンスの増加
広告