Loading...

答えを一括表示

全ての問題カードで答えと解説を同時に展開します。

もう一度押すと全てのカードの答えをまとめて非表示に戻せます。

表示中

作業療法士問題表示

作業療法士国家試験

検索元問題
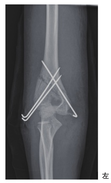
第42回 午前 第13問
20件の類似問題
23歳の男性。スノーボードで転倒し受傷。術前と術後のエックス線写真(別冊No. 1A、B)を別に示す。この患......
広告
5
第46回 午前 作業療法士実地問題
科目:
32歳の男性。右環指中手骨骨折に対する固定術後8週経過。エックス線写真(A)と手指の写真(B)とを別に示す。この患者の作業療法で正しいのはどれか。2つ選べ。 
-ostCE0nDl-wnZCuAl5tS
1
MP関節の屈曲訓練
2
母指と環指との対立訓練
3
夜間安静スプリントの装着
4
逆ナックルベンダーの装着
5
手術創癒着部への極超短波療法
12
第42回 午前 作業療法士実地問題
科目:
23歳の男性。スノーボードで転倒し受傷。術前と術後のエックス線写真(別冊No. 1A、B)を別に示す。合併する感覚障害の領域で正しいのはどれか。 
ZBYOv9lknAlps-nZmTS7B
1
2
3
4
5
34
第48回 午前 作業療法士専門問題
最重要
科目:
作業療法で正しいのはどれか。  
1
テニス肘では90°以上の肘屈曲を避ける。
2
切断指再接着直後の浮腫には寒冷療法を用いる。
3
肩関節腱板断裂では肩甲骨の回旋運動を制限する。
4
ZoneⅡの屈筋腱損傷の術直後は手関節を屈曲位に保つ。
5
上腕骨骨幹部骨折では肩関節内外旋訓練を早期に開始する。
24
第34回 午前 作業療法士専門問題
最重要
科目:
40歳の男性。機械による手指屈筋腱断裂。術後、手関節掌屈位30°、MP関節屈曲位50°及びPIP・DIP関節ともに完全伸展位で4週間固定後、作業療法を開始した。固定中も手指屈筋の自動運動は行っていた。開始時の作業療法で適切でないのはどれか。  
1
上肢帯の粗大運動
2
手関節背屈筋の自動運動
3
手関節屈筋の抵抗運動
4
MP関節伸展の等尺性運動
5
PIP・DIP関節の個別の関節可動域訓練
59
第42回 午前 作業療法士専門問題
最重要
科目:
腕神経叢麻痺全型損傷(完全麻痺)に対する肋間神経の筋皮神経移行術後における作業療法で誤っているのはどれか。  
1
術直後から肩関節をゼロポジションに保つ。
2
拘縮予防のための手スプリントを作製する。
3
呼吸に合わせて、肘関節の屈曲訓練を行う。
4
入浴時に肘関節の屈曲伸展運動を指導する。
5
腋窩(上腕と体幹)で物をはさむ訓練を行う。
広告
19
第35回 午前 作業療法士実地問題
科目:
大分類: 脊髄損傷
25歳の男性。交通事故による頚髄損傷。受傷後8か月経過。褥瘡はない。筋力は肩関節周囲筋 4(Good)、肘関節屈筋4(Good)、肘関節伸筋0、手関節背屈筋4(Good)、手関節屈筋0、下肢筋群0であった。この患者の移乗動作の自立を目的とした作業療法で適切でないのはどれか。  
SjXtzhGOHDoXDfJgHMtM1
1
1
2
2
3
3
4
4
5
5
17
第59回 午前 作業療法士実地問題
科目:
76歳の男性。左足関節の痛みに対して手術療法が行われた。術後エックス線写真を別に示す。術後の理学療法で正しいのはどれか。
2S9oXEH5R3
_0-3Ab9Vqn
1
術直後から荷重を開始する。
2
疼痛軽減のため電磁波療法を行う。
3
膝関節可動域練習を積極的に行う。
4
外固定が外れたら足指可動域練習を開始する。
5
内固定破損の可能性があるため骨癒合が得られるまで短下肢装具を使用する。
8
第58回 午前 作業療法士実地問題
科目:
53歳の女性。自転車走行中に転倒受傷し、鎖骨骨幹部骨折に対して観血的整復固定術が施行された。術後のエックス線写真を別に示す。術後翌日の患側の理学療法で正しいのはどれか。
kUShMH01Er
1
手指運動を行う。
2
患部に超音波療法を行う。
3
肩関節挙上の等張性運動を行う。
4
全身の安静のためベッド上で行う。
5
他動で肩関節の可動域練習を行う。
6
第45回 午前 作業療法士実地問題
科目:
65歳の男性。右上腕外側の持続圧迫による橈骨神経麻痺。発症後3日。橈骨神経領域の感覚障害がある。Danielsらの徒手筋力テストで腕橈骨筋3、橈側手根伸筋2、尺側手根伸筋2、指伸筋2、長母指外転筋2、示指伸筋1である。この患者に対する作業療法で適切なのはどれか。2つ選べ。  
1
手関節の伸展他動運動
2
MP関節伸展の抵抗運動
3
Capener装具による示指伸張
4
コックアップスプリントの装着
5
手関節伸筋に対する遠心性収縮による筋力強化
32
第47回 午後 作業療法士専門問題
重要
科目:
上腕骨顆上骨折後の作業療法で正しいのはどれか。  
1
固定期は、固定関節以外も安静に保つ。
2
固定期は、上肢下垂位のポジショニングに努める。
3
固定除去直後は、前腕の重さを利用して肘関節の可動域訓練を行う。
4
固定除去2週後から、2 kgの重錘を用いて肘関節の持続伸張を行う。
5
固定除去4週目で肘関節拘縮が残存する場合は、強い矯正を加える。
広告
60
第41回 午前 作業療法士専門問題
重要
科目:
腱板不全断裂の治療で誤っているのはどれか。  
1
急性期は三角巾による局所の安静
2
肩甲胸郭関節の可動域訓練
3
滑車を用いた肩関節可動域維持
4
肩甲上腕リズムの再学習訓練
5
重錘を用いた上肢挙上運動
56
第41回 午前 作業療法士専門問題
最重要
科目:
前腕遠位部での正中神経縫合術後3週の患肢への作業療法で適切でないのはどれか。  
1
感覚障害-手掌から開始する知覚再教育
2
関節拘縮-手関節背屈位で行う手指の関節可動域訓練
3
筋力低下-非麻痺筋の積極的な筋力増強訓練
4
手指機能-短対立装具を用いたつまみ訓練
5
循環障害-上肢挙上位保持の指導
8
第58回 午後 作業療法士実地問題
科目:
6歳の女児。公園で転倒し、骨折の診断で同日緊急手術を受けた。術後のエックス線写真を別に示す。術後の患側上肢の理学療法で正しいのはどれか。
sYhF2F6b4S
1
術後1週で筋力増強運動を開始する。
2
肘関節の運動は自動より他動を優先する。
3
術後2週で肩関節の可動域練習を開始する。
4
仮骨形成してから肘関節の可動域練習を開始する。
5
術後翌日に急激な痛みがあっても手指運動を行う。
9
第53回 午後 作業療法士実地問題
解説
科目:
35歳の男性。飲酒後電車内で寝過ごし、右上腕部の圧迫によって橈骨神経麻痺となった。受傷4日後で橈骨神経領域の感覚低下があり、手関節背屈および手指伸展の自動運動は困難である。この患者に対するアプローチで適切なのはどれか。2つ選べ。  
1
上腕部のアイシング
2
手関節背屈の抵抗運動
3
Engen型把持装具の使用
4
手指・手関節の他動伸展運動
5
コックアップ・スプリントの使用
解説を解放して詳細を表示

解説データを取得しています...

29
第45回 午前 作業療法士専門問題
最重要
科目:
橈骨遠位端骨折の作業療法で正しいのはどれか。  
1
固定中は肩関節の自動運動を行う。
2
手指の自動運動は固定除去後に開始する。
3
骨癒合後早期にスポーツを訓練課題に取り入れる。
4
浮腫がある場合は上肢を動かさないように指導する。
5
固定除去後の手関節の自動運動は1日に1回1時間行う。
広告
45
第34回 午前 作業療法士専門問題
最重要
科目:
手根管症候群の術後3日目の作業療法で適切でないのはどれか。  
1
全指の自動関節可動域訓練を行う。
2
手関節の他動的関節可動域訓練を行う。
3
浮腫を軽減するポジショニングを指導する。
4
手関節の痛みがあるときは安静用スプリントを作製する。
5
片手動作を指導する。
9
第58回 午前 作業療法士実地問題
科目:
55歳の女性。趣味でジョギングを行っている。変形性膝関節症に対して手術療法が行われた。術後のエックス線写真を別に示す。術後の理学療法で正しいのはどれか。
GKHWPVdiIm
1
金属を抜いてからスポーツ復帰する。
2
骨癒合が得られるまで完全免荷とする。
3
術後から外側が高い楔状足底挿板を使用する。
4
術後早期から大腿四頭筋の筋力増強運動を行う。
5
術後2週の安静後に患側膝関節の可動域練習を開始する。
56
第40回 午前 作業療法士専門問題
最重要
誤っている組合せはどれか。  
1
フレンケル体操-脊髄後索性運動失調
2
コッドマン体操-肩関節周囲炎
3
漸増抵抗訓練-廃用性筋萎縮
4
EMGバイオフィードバック-腱移行術後
5
重錘バンド-パーキンソン病
15
第37回 午前 作業療法士実地問題
科目:
62歳の女性。転倒により骨折した。固定期間中に非固定部の関節可動域訓練を行う際、適切でないのはどれか。  
1
固定後早期から開始する。
2
可動域検査は上肢全体を行う。
3
自動運動を原則とする。
4
骨折部を固定して行う。
5
骨折部の痛みがあっても続ける。
12
第50回 午後 作業療法士実地問題
科目:
40歳の男性。Guillain-Barré症候群。発症後2週経過。麻痺の進行が止まり、機能回復を目的にベッドサイドでの作業療法が開始された。筋力はMMTで上肢近位筋3、上肢遠位筋2、下肢近位筋2、下肢遠位筋1である。この時期の作業療法で適切でないのはどれか。  
1
体位変換
2
良肢位の保持
3
関節可動域訓練
4
座位耐久性の改善
5
漸増抵抗運動による筋力強化
広告