Loading...

答えを一括表示

全ての問題カードで答えと解説を同時に展開します。

もう一度押すと全てのカードの答えをまとめて非表示に戻せます。

表示中

理学療法士問題表示

理学療法士国家試験

検索元問題
第41回 午前 第36問
20件の類似問題
65歳の男性。胸骨正中切開による縦隔腫瘍摘出術後3日。左上下葉区の痰の貯留が多い。この時期の理学療法で......
広告
18
第35回 午前 理学療法士実地問題
標準
70歳の男性。肺癌で左肺下葉切除術後2日経過。左上葉の痰貯留が多い。この時期の理学療法で適切でないのはどれか。  
1
吸気筋に対する抵抗運動
2
ファーラー位での体位排痰
3
腹式呼吸
4
全身リラクセーション
5
四肢の自動運動
19
第35回 午前 理学療法士実地問題
標準
65歳の男性。胸部解離性大動脈瘤術後の早期理学療法で適切でないのはどれか。  
1
訓練前後に胸部を聴診する。
2
呼吸介助手技に振動法を用いて排痰を試みる。
3
腰背部のリラクセーションを行なう。
4
腹式呼吸を指導する。
5
座位訓練は胸腔ドレーンの抜去後に開始する。
19
第54回 午前 理学療法士実地問題
重要
78歳の男性。慢性閉塞性肺疾患の急性増悪により人工呼吸器管理中である。意識レベルJCS〈Japan Coma Scale〉Ⅱ-20、体温37.5℃、呼吸数は26回/分、努力性呼吸を認める。二次的合併症の予防目的で行う理学療法で適切でないのはどれか。  
1
呼吸介助
2
体位排痰法
3
ベッドアップ
4
関節可動域運動
5
徒手的抵抗運動
31
第40回 午前 理学療法士専門問題
重要
25歳の男性。外傷性頸髄損傷。現在は図のような動作で食事を行っている。この患者に対して急性期に行った呼吸理学療法で誤っているのはどれか。 
LwcZuyhgykFJ7K7LxoAeA
1
胸郭モビライゼーション
2
肋間筋強化
3
息こらえ練習
4
介助咳嗽練習
5
体位排痰法
24
第37回 午前 理学療法士専門問題
最重要
65歳の男性。慢性閉塞性肺疾患。30年の喫煙歴。痰の量が多く、息切れのため50 m歩くと休憩を要する。理学療法で適切でないのはどれか。  
1
体位ドレナージ
2
胸式呼吸
3
口すぼめ呼吸
4
呼吸筋の筋力増強
5
リラクセーション
広告
51
第34回 午前 理学療法士専門問題
最重要
下位頸髄損傷患者の呼吸理学療法で誤っているのはどれか。  
1
体位排痰
2
胸郭の徒手的振動
3
胸郭の圧迫
4
横隔膜の筋力増強
5
肋間筋の筋力増強
13
第38回 午前 理学療法士実地問題
重要
25歳の男性。交通事故による脊髄損傷(第6頸髄節まで機能残存)。頸椎脱臼骨折の観血整復固定術後4日目。多発性肋骨骨折を合併し呼吸管理を行っている。早期理学療法で誤っているのはどれか。  
1
タッピングによる排痰訓練を行う。
2
肩関節の自動介助運動を行う。
3
肩関節の可動域訓練は屈曲90°までに留める。
4
ベッドアップでの頭部挙上訓練を行う。
5
下肢の他動運動を行う。
32
第41回 午前 理学療法士専門問題
重要
20歳の男性。大学でラグビーの練習中に頸髄損傷(第6頸髄節まで機能残存)となった。受傷後1か月の呼吸理学療法で適切でないのはどれか。  
1
排痰の促進
2
胸郭可動性の確保
3
横隔膜の筋力強化
4
肋間筋の筋力強化
5
インセンティブ・スパイロメトリーを用いた呼吸訓練
31
第47回 午後 理学療法士専門問題
標準
開胸・開腹術が予定されている場合に、実施する必要性が高い術前リハビリテーションはどれか。  
1
咳嗽訓練
2
呼吸介助
3
発声練習
4
体位ドレナージ
5
持続性気道陽圧法(CPAP)
10
第59回 午後 理学療法士実地問題
重要
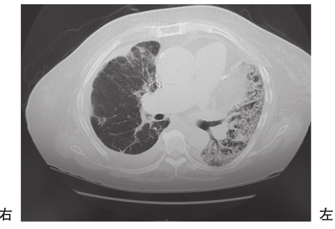
72歳の男性。在宅酸素療法中。呼吸困難が増悪したため入院し、作業療法が開始された。開始時の胸部CT を別に示す。mMRCはGrade 4であり、酸素流量は安静時3L/分、労作時5L/分であった。この患者の日常生活指導で最も優先されるのはどれか。
e6p4xvXGI1
1
口すぼめ呼吸を指導する。
2
更衣動作は素早く行わせる。
3
呼吸困難時には深呼吸を促す。
4
立ち上がってすぐに移動する。
5
短時間で動作を区切って休憩する。
広告
93
第42回 午前 理学療法士専門問題
最重要
慢性閉塞性肺疾患の理学療法で適切でないのはどれか。  
1
呼吸筋訓練
2
胸郭可動域訓練
3
深吸気
4
下肢エルゴメーター
5
体位排痰法
19
第51回 午後 理学療法士実地問題
標準
科目:
69歳の男性。肺癌。これまで化学療法を行ったが病状は進行し、経過中に脳転移がみられた。胸部エックス線写真(A)と頭部造影MRI(B)とを示す。現在、呼吸に関する自覚症状はないが、全身倦怠感、食欲不振および悪心があり、外出する気分になれず自宅に閉じこもる傾向にある。この時期に適切な理学療法はどれか。 
pt3_5lAZtyEKQ_ewgvbzS
1
嚥下練習
2
下肢促通運動
3
屋外での歩行運動
4
軽打法による排痰
5
漸増的な持久性運動
16
第45回 午前 理学療法士実地問題
重要
70歳の男性。慢性閉塞性肺疾患で%VC 70%、FEV1.0% 75%。この患者に対する理学療法で誤っているのはどれか。  
1
息切れ時のポジショニングの指導
2
息こらえをしながら立ち上がる訓練
3
自転車エルゴメーターによる持久力訓練
4
下肢の筋力強化のためのハーフスクワット訓練
5
上肢の筋力強化のための四つ這いでの腕立て伏せ訓練
19
第52回 午後 理学療法士実地問題
重要
42歳の男性。Guillain-Barré症候群。発症後3日目。四肢体幹の重度な麻痺と呼吸筋麻痺のため人工呼吸器管理の状態である。この時期に行う理学療法で適切なのはどれか。  
1
体位排痰
2
痙縮の抑制
3
体幹の漸増抵抗運動
4
上下肢の高負荷の筋力増強運動
5
上下肢の過伸張を伴うストレッチ
90
第55回 午前 理学療法士・作業療法士共通問題
標準
集中治療室での急性期リハビリテーションに関して正しいのはどれか。  
1
安全面から歩行練習は行わない。
2
squeezingでは呼気時に肺を圧迫する。
3
頭部挙上位は全身状態が安定してから開始する。
4
総腓骨神経麻痺の発生予防には踵部の除圧が重要である。
5
体位排痰法では痰の貯留部位を下にした姿勢を保持する。
広告
53
第36回 午前 理学療法士専門問題
最重要
頸髄損傷患者の肺理学療法の目的で誤っているのはどれか。  
1
排痰の促進
2
微小気管支の開存
3
胸郭可動性の確保
4
1回換気量の増大
5
肋間筋の筋力増強
20
第55回 午前 理学療法士実地問題
標準
科目:
大分類: 整形外科
85歳の女性。自宅仏壇のろうそくの火が右袖に引火し、右前腕から前胸部および顔面にⅢ度5%とⅡ度15%の熱傷および気道熱傷を受傷した。受傷翌日に前胸部から右前腕前面にかけて植皮術を実施した。術後早期から開始する理学療法として正しいのはどれか。  
1
squeezingによる排痰を実施する。
2
前腕は最大回内位に保持する。
3
肩関節は外転位に保持する。
4
筋力増強運動は禁止する。
5
起立歩行は禁止する。
17
第36回 午前 理学療法士実地問題
重要
50歳の男性。ギラン・バレー症候群発症後1週経過。理学療法で適切でないのはどれか。  
1
ベッド上での良肢位保持
2
体位変換
3
関節可動域訓練
4
呼吸訓練
5
代償運動の指導
70
第35回 午前 理学療法士専門問題
重要
肺気腫の理学療法で正しいのはどれか。  
1
フローボリューム曲線のピークフロー値の増大を図る。
2
%肺活量の増大を図る。
3
呼気の流速を遅くして呼吸させる。
4
運動負荷は最大酸素摂取量の70 %とする。
5
酸素飽和度(SpO2)の指標は80 %以上とする。
15
第50回 午前 理学療法士実地問題
重要
85歳の男性。脳梗塞の既往がある。2、3か月前から食事中にむせることが多くなっていた。3日前から元気がなく、昨晩から発熱と意識障害とがみられたため救急搬送され気管挿管の上、入院となった。体温38.0℃、呼吸数25/分、左胸部に肺胞呼吸音、右胸部に水泡音が聴取された。エックス線写真を示す。この患者の病変が生じている部位に痰が貯留している場合の排痰体位として最も適切なのはどれか。
B8AWQg6p18-IvFlMMbZdV
1
1
2
2
3
3
4
4
5
5
広告